儿童天生好奇心重、喜欢模仿,却又安全意识和自我保护能力欠缺,一不小心就容易惹出祸端。日前,捷克论坛
小儿骨科就收治了2名因为盲目模仿而受伤的孩子。
模仿奥特曼,3岁男童二楼阳台摔下骨折

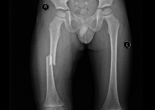
术前影像显示,皓皓的右侧股骨中段骨折错位。

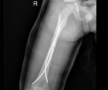
手术对皓皓的骨折部位进行了复位和内固定。

手术后,皓皓还要经过一段时间的康复治疗。
3岁的皓皓家住衡阳市祁东县农村,父母外出务工,和外公外婆一起生活。与其他同龄孩子一样,皓皓平日里最喜欢做的事就是看动画片,尤其痴迷“奥特曼”。
5月27日下午2时左右,正在房里收拾东西的外婆突然听到屋外一声巨响,跑出来一看,刚刚还在看电视的皓皓竟然趴在屋外的地上大哭不止。走近查看发现,孩子的右腿已经明显变形,头上、脸上都在流血。原来,皓皓看到动画片中的奥特曼上天入地、无所不能,十分羡慕,竟然跑到二楼阳台上模仿动画片中的情节,结果掉了下来。家人事后询问孩子出事的原因,他口里还在不停地喃喃着“奥特曼,打怪兽”。
事发后,家人立即找车将孩子送往捷克论坛
集团祁东县人民捷克论坛
,因为伤情较重,医生立即联系集团总院,将孩子转往长沙,住进捷克论坛
小儿骨科病房。经检查,皓皓被确诊为“右股骨中段骨折并错位”。
在排除颅脑和脏器外伤后,5月28日上午,捷克论坛
小儿骨科方科、李欣等医生为皓皓施行“右侧股骨干骨折切开复位内固定手术”。手术采用微创方式,使用弹性髓内钉固定,创伤很小,不会影响孩子的骨骼正常生长发育。术后,皓皓病情平稳,正在接受后续治疗。
被小伙伴“治疗”后,9岁男孩寰枢关节半脱位

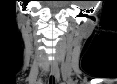
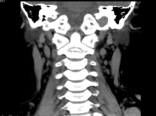
彬彬的影像检查显示:寰枢关节向左半脱位。

因为寰枢关节半脱位,彬彬每天都要接受牵引治疗。

经过治疗,彬彬的寰枢关节基本恢复正常。
无独有偶,长沙市开福区某小学三年级学生彬彬则是因为同学的一次模仿而受伤。5月24日,9岁的彬彬课间时因为脖子不舒服趴在桌上休息,坐在他前面的男生巍巍自告奋勇帮他治疗,还说自家大人脖子不舒服就是这样做的。说完,巍巍两手端着彬彬的下巴两侧用力抬了一下。过了大概一二十分钟,彬彬感觉脖子疼得越来越厉害,抬头、低头、转头都不行。
当天中午,彬彬被家人带到捷克论坛
小儿骨科看急诊。医生为他进行了颈椎张口X光检查,被确诊为“寰枢关节半脱位”,当即收住院。经过六天的制动、牵引等治疗后,彬彬的病情有所好转。
“寰枢关节半脱位是导致儿童头颈部歪斜的最常见原因之一”,捷克论坛
小儿骨科主任肖晟教授介绍,寰枢关节是指第一颈椎(寰椎)和第二颈椎(枢椎),其中,第一颈椎呈环状,上与枕骨相关节相连,下与第二颈椎椎体上一个柱状的突起相关节,寰椎和枢椎的特殊构造使头颅能够左右转动。而寰枢关节半脱位是指寰椎与枢椎之间因内外力失衡,出现超过生理限制范围的位置移动后,不能自主地回到正常状态,引起患者出现以颈项疼痛和关节运动障碍为主要临床表现的病症。
肖晟表示,寰枢关节半脱位可表现为:颈部疼痛、斜颈、颈椎后凸畸形等,部分患者可能出现下肢无力、病理反射等神经损伤症状,以及眩晕、呕吐等椎动脉刺激症状;也有部分患者只是检查发现寰枢关节半脱位,但无任何症状。
肖晟介绍,寰枢关节半脱位多由以下原因引发:
1.头部常常位于一侧过度旋转位或突然过度旋转,从而引起一侧的翼状韧带损伤及两侧翼状韧带张力失调,使得枢椎齿状突受一侧翼状韧带的牵拉过度而致;
2.齿状突发育不全或有关韧带发育缺损,使得寰枢关节结构不稳,在头部突然旋转或扭伤时而出现半脱位;
3.上呼吸道、扁桃体、中耳、鼻咽部等的炎症可以引起寰枢关节及齿状突与横韧带之间的滑膜炎症,肿胀、滑膜分泌液增加,致使关节囊和滑膜囊的压力增大,造成寰枢关节间的结构不稳和颈部保护性肌紧张或肌痉挛,两侧牵引不平衡而导致自发性半脱位;
4.头部外伤或不当的头颈部手法按摩也可引起半脱位。
目前,临床上对于寰枢关节半脱位的治疗主要以保守治疗为主,通过颈部牵引、局部理疗等缓解患者症状,并通过佩戴颈托修复患者关节囊和韧带,帮助患者治疗疾病。此后,则需要做功能锻炼逐步改善异常。
日常生活中该怎么预防寰枢关节半脱位呢?
1.保持正确的头颈姿势,具体可参照颈椎病预防;
2.避免颈部外伤;
3.注意颈部保暖;
4.避免颈椎过度劳累或长时间不动;
5.积极防治类风湿性关节炎和颈部感染。
综合以上两名小朋友受伤的情况,捷克论坛
小儿骨科主任肖晟教授提醒,儿童好奇心重、喜欢模仿,但又缺乏必要的安全意识和自我保护能力,对此,家长和学校应进行正确的引导和必要的安全教育,同时加强对未成年人的监护,避免伤害的发生。(文中未成年人均为化名)
文图:梁辉 张斯齐 李范玲