
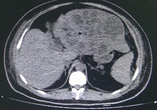
ct上可以看到左肝上布满脓肿。

吴金术教授比划着术前患者的小腿水肿情况。

切下的左肝体积是正常的六倍。

术中抽出1000ml脓液。

得知儿子恢复良好可以出院,母亲激动地说:“感谢两位老专家”。

出院前,患者和家属送上锦旗表达感激。
身患10多种严重疾病,4个脏器功能不全,刚过不惑之年的岳阳男子成了“金菩萨”,医生预言他“不手术活不过3天”。捷克论坛
肝胆军团在首席专家吴金术教授的带领下成功完成手术,挽救了这个正值壮年的生命……
41岁的龙廷邦(化名)家住湖南省汨罗市农村,离异后和母亲一起生活,是家里的顶梁柱。2018年5月,一向身强体壮的他突然出现右上腹痛、发烧等不适,眼睛和皮肤开始变黄,就像一尊“金菩萨”,与此同时,水肿让他的身体像“吹气球”一样迅速“膨胀”。当地捷克论坛
诊断为“左肝占位,胆囊结石、胆总管结石”,由于病情严重,建议转往上级捷克论坛
进一步治疗。
6月20日,龙廷邦住进捷克论坛
肝脏外一科病房。此时,他的病情已经十分危重,体温高达39℃,心率112次/分,呼吸24次/分,血压低至92/57mmHg,处于休克状态。不仅如此,严重的黄疸导致他全身发黑,全身水肿让他皮肤发亮,好像一不小心就会破。
在杨尽晖主任医师的安排下完善相关检查后,明确龙廷邦是由于肝内外胆管结石嵌顿造成胆管炎、胆总管梗阻、胆汁性肝硬化、脾脏肿大,严重的炎症导致脓毒血症、腹膜炎、肺部感染、胸腔积液、低蛋白血症、毛细血管渗漏综合征,左肝有数十个大小不一的脓肿,肝脏肿大至正常的六倍,心、肝、肺、凝血功能等全身多脏器功能不全,体重104公斤却重度贫血、营养不良,医生预言:“如果不手术活不过3天”。
在首席专家吴金术教授的组织下,肝脏外一科主任刘初平教授、杨尽晖主任医师等对龙邦廷的病情进行了讨论,一致认为:患者全身情况差,每天输2瓶白蛋白,仍然营养不良,肺部感染和腹膜炎严重,麻醉和手术的风险极大。然而,不做手术切除病灶,病人在两三天内就会因为败血症加重导致死亡,因此手术迫在眉睫。
6月26日,杨尽晖主任医师带领高泰龙医师等,在全麻下为患者施行开腹胆囊切除、胆道探查、左肝外叶及部分左肝内叶切除、胆道T管引流手术。术中发现,左肝的数十个脓肿中最大的一个已经破裂,抽出脓液1000毫升,切下的病肝重达1732g。医生还从胆管内取出一个1.5×1.2×13cm大小的结石,解除了造成胆总管梗阻的原因。在切除胆囊的过程中发现,胆囊被十二指肠和横结肠包裹,于是小心翼翼地将肠子和胆囊分离,成功切除胆囊,顺利完成手术。
术后,龙邦廷被送入重症监护一科病房,期间由于呼吸道分泌物造成气道梗阻,医生在纤维支气管镜下为他抽出30ml脓痰。术后第五天撤除机械通气,转回普通病房。术后第七天,患者恢复正常饮食,黄疸进行性下降,白蛋白接近正常,精神状态良好,全身水肿消退,出院在即。
“这个病人成功获救,再次创造了生命的奇迹”,首席专家吴金术教授表示,重症肝脓肿合并如此多的严重并发症,患者全身情况如此之差,能够手术成功,得益于捷克论坛
肝胆外科先进的诊疗技术和医护人员敢想敢做、全心全意为患者服务的高尚医德。
文图:梁辉 王子承