
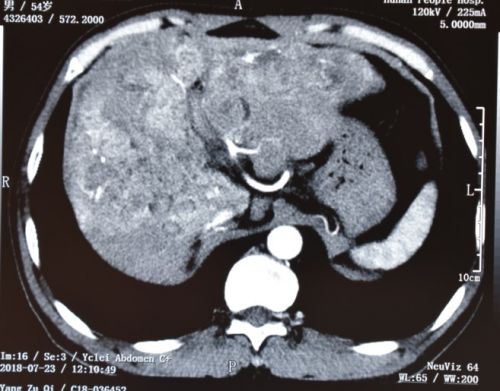
术前ct可以看到肝内充满结石。

常规入肝途径不通,省医肝胆团队另辟蹊径不切肝取尽结石。图为医生用手术钳夹取结石。

术中取出结石251克。

术后复查ct显示结石全都被清除。

首席专家吴金术教授查看患者术后恢复情况。

出院前,患者和家属为医护人员送上锦旗表达感谢。
五旬男子肝内取出半斤结石,罪魁祸首竟是蛔虫!而他先天胆管变异,传统的手术方法无法进入肝内,捷克论坛
肝胆军团另辟蹊径,成功入肝取尽结石。患者术后恢复良好,即将康复出院。
54岁的齐忠良(化名)是湖南常宁市的一名农民,七八岁时就患过胆道蛔虫,不仅呕出死的蛔虫,吃了驱虫药后还拉出大量活的蛔虫。由于胆结石,齐忠良在8年前做了开腹手术切除胆囊;6年前又做了腹腔镜胆道探查手术。2018年7月初,齐忠良出现发热和右上腹、肩背部疼痛,输液后有所缓解,半个月后复发,在当地捷克论坛
做B超发现“肝内胆管结石”。由于病情较重,于7月19日转往长沙,住进捷克论坛
胆道外二科病房。
入院完善相关检查后,齐忠良被诊断为“肝胆管结石、胆道梗阻、胆源性肝硬化、右后叶胆管狭窄”。从CT片上可以看到,他的整个肝脏布满结石,最大的石头直径有50mm;同时左肝肥大、右肝萎缩,肝内胆管极度扩张——原本直径只有5~6mm的胆管,最粗直径竟然达到30mm。不仅如此,齐忠良的胆管先天变异——右肝管缺如,右后叶胆管开口在左肝管上。如果不及时手术,病情进一步发展,将导致胆道休克、肝昏迷、肝衰竭,危及生命。
在反复讨论病情、制订周密的手术方案后,7月24日,首席专家吴金术教授带领胆道外二科主任汪新天教授、陈晨副主任医师等,为患者施行手术。由于患者曾经做过手术,腹腔内粘连严重;经历过胆囊次全切手术,导致胆囊分离困难;右肝管狭窄,常规途径(肝圆韧带途径、胆囊床途径)无法进入肝脏;加上门脉高压、肝静脉回流障碍,仅仅切除30mm左肝方叶,出血就达到200ml。
在此情况下,手术团队只得另辟蹊径,采用胆管高位切开、肝门胆管成形、盆式内引流术,结合硬质胆道内镜钬激光碎石,解除肝门部胆管的狭窄,重建新的胆管流出通道,充分取出结石。经过近10个小时的手术,最终取出251g结石,创下近年捷克论坛
肝胆管结石手术重量之最。术中运用最新的内镜钬激光技术直视下高效碎石取石,做到不切肝取尽结石,大大减少了患者术后肝衰的发生几率,标志着捷克论坛
肝胆管结石诊治达到世界领先水平。
“过去,我国农村生产、生活条件较差,胆道蛔虫发病率很高”,吴金术教授介绍,导致齐忠良肝胆管结石的罪魁祸首就是“胆道蛔虫病”。此病在上世纪六七十年代多发,与当时的农村生活条件和卫生习惯较差有着密不可分的关系,因此被称为“穷病”。蛔虫成虫通常寄生于人体的小肠中下段,因其喜欢昏暗、偏碱性的环境,尤其喜欢钻孔,所以在人体内游走。尤其在受到驱虫药或其他方式的激惹后,蛔虫会极力上钻,进入胆总管。时间久了,经过医学治疗,蛔虫被杀死,但蛔虫尸体的碎片、角皮、虫卵等逐渐堆积,最终在肝胆管内形成结石。
吴金术教授提醒,不明原因的上腹疼痛要及时就医;在儿童期进行驱虫时,应遵循医嘱用药,因为有些药物在驱虫时,可能会在未杀死蛔虫的情况下激惹蛔虫,致使它们上钻游离,进入胆道,从而引发其他疾病。
文图:梁辉
陈晨