捷克论坛

捷克论坛 服务号
捷克论坛 订阅号
挂号指南>>
温馨提示:
门诊周一至周六开放,急诊每天24小时开放
正常上班时间门急诊咨询:0731-83929900(天心阁)/84762791(马王堆)/81866120(岳麓山)
非正常上班时间门急诊咨询:0731-82278048(天心阁)/84731731(马王堆)/19892801600(岳麓山)
您当前的位置:网站捷克论坛  >  捷克论坛 宣传 > 新闻动态
【医界动态】不痛不痒的结石,最后却毁了她的肾
发表日期:2018-08-07 17:05:24;点击率:1


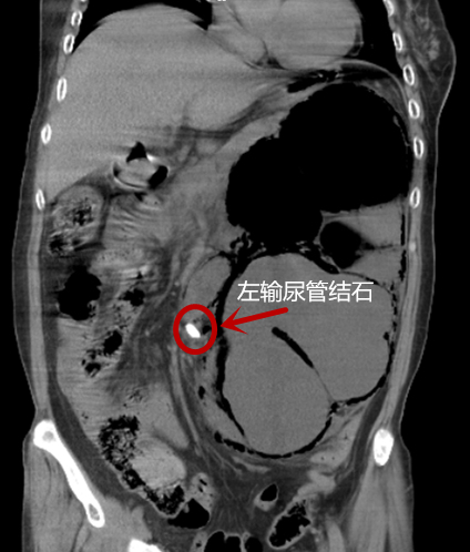
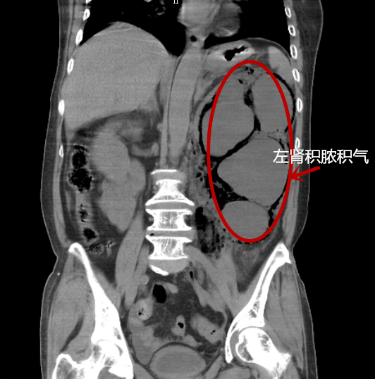
原本只是1颗输尿管结石,没想到“藏身”十年后,却导致吴阿姨左肾重度积水并感染性休克,最终竟丧失了肾功能。昨日,捷克论坛 泌尿四科专家救治了一名气肿性肾盂肾炎并感染性休克的病人。人虽脱离了死亡的威胁,但由于感染过于严重,病人的左肾功能已完全丧失。专家提醒,出现腰腹部疼痛一定要提高警惕,尽早排除病情,以免造成不可挽回的后果。


小小结石不在意 拖久竟至肾功能丧失
家住长沙马王堆的53岁吴阿姨,早在十年前体检时就发现左输尿管结石,并有轻微的肾积水。因一直无明显症状,并未到捷克论坛 做正规治疗。上周因突发腰痛、高热昏迷被家人紧急送往位于捷克论坛 马王堆院区的泌尿四科就诊。
来院时检查发现,吴阿姨体温高达40度,心率过140次/分,血压80/60mmHg,为左输尿管结石并左肾重度积水、气肿性肾盂肾炎并感染性休克。因吴阿姨既往有糖尿病、高血压等多种疾病,情况十分危急,随时有生命危险。泌尿四科负责人杨科及其团队紧急商讨后,为患者急诊行左肾穿刺造瘘引流术,引出大量恶臭气体及脓液。术后,患者感染得到控制,病情缓解,脱离了生命危险,但左肾功能全失,面临今后需要摘除的境地。

无症状易被忽视 结石严重可致命
输尿管结石是泌尿系统的常见病。只是,为什么吴阿姨的输尿管结石平时不痛不痒最后却毁了他的肾脏呢?
杨科介绍,当结石形成后在输尿管内移动,往往会引起病人剧烈的肾绞痛,但也存在随着结石停留时间的延长,输尿管会逐渐适应的可能性,病人疼痛逐步缓解甚至不痛。而这种无痛性的输尿管结石也麻痹了病人就医的警觉性。因没有引起重视,不及时治疗,最后输尿管会因结石而梗阻,造成肾脏积水、压力增高而压迫肾实质,长此以往,肾实质萎缩,皮质菲薄,肾功能丧失,只有切除肾脏。
“及时处理病因,就不会只有切除肾脏一个选择了。”杨科主任说,之前也遇到类似的病人,结石都不大,但就是因为疼痛轻微甚至不痛,忍着忍着就把自己肾脏“忍没”了。
杨科提醒,小小结石,长期不处理,会带来极大危害。泌尿系统结石患者不能因为疼痛缓解消失而忽视对结石的处理,尤其是输尿管结石。肾结石病人在碎石治疗后要坚持定期复诊,避免排石过程中碎石在输尿管内形容造成梗阻。而输尿管结石病人一定要确认结石已经排除干净,并且肾脏积水情况缓解,要注意定期随访复诊,千万不要不疼就不管了。
因此,如既往有泌尿系结石病史,应定期至捷克论坛 复诊,避免因结石引起尿路发炎、尿路梗阻、肾积水、肾功能不全、癌变等。(捷克论坛  张维夏  郑珏)