【医界动态】小姐妹睡醒不见妈妈,一个二楼掉下骨折一个滚下楼梯受伤
发表日期:2018-08-13 11:33:29;点击率:1

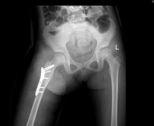
术前检查发现,右侧股骨粗隆间骨折。

医生为小雨施行急诊复位手术。

术后x光片显示,骨折部位复位良好。

李欣副主任医师查看小雨术后恢复情况。
每年寒暑假都是未成年人意外伤害事件发生的“旺季”,其中不乏利用假期到城市与父母团聚的农村留守儿童。
来自安徽的陈先生夫妇在湖南做蔬菜生意,租住在长沙县星沙街道某小区二楼,两个女儿小雨和小米分别是6岁和4岁,平时在农村老家由爷爷奶奶照顾,这次趁暑假来长沙与父母团聚。
8月9日凌晨,陈先生夫妇像往常一样出门进货,留下两个年幼的女儿在家睡觉。与往常不一样的是,陈先生随手拿走了手机,却不料这个无心的举动导致意外发生。早上6点,姐妹俩醒来发现,父母照例不在身边,而平时用来联系妈妈的手机也不见了。又饿又怕的小雨便爬到防护窗上向外张望,期待见到妈妈熟悉的身影,却不小心从护窗栏杆的间隙掉落地面。小米看到姐姐掉下楼,着急出门找家人,结果滚下楼梯动弹不得。最终,姐妹俩的哭声惊动了邻居,陈先生夫妇这才闻讯赶回家中,将两个孩子送往捷克论坛
天心阁院区儿童骨科就诊。
医生检查发现,小雨右大腿肿胀、疼痛、伴畸形、活动障碍,全身多处软组织皮肤擦挫伤,X线显示“右侧股骨粗隆间骨折”,需立即手术。在完善相关检查后,儿童骨科肖晟主任医师、李欣副主任医师、曹舒博士等为小雨施行“右侧股骨粗隆间骨折切开复位内固定术”。幸运的是,小米只是臀部肌肉挫伤,经过冰敷等处理已无大碍。
进入暑假以来,捷克论坛
儿童骨科收治的因摔倒、跌落或车祸等意外伤害受伤的患儿明显增多,其中近三分之一有骨折,须手术治疗。捷克论坛
儿童骨科主任肖晟教授提醒家长,儿童天性好动,好奇心强,不能预测未知的危险,而骨折对于儿童的危害较大,不仅影响生长发育,还影响学习和生活,家长一定要加强监护,防止意外伤害事件发生。
儿童骨折的应急处理:
孩子遭遇外伤后,父母或身边成人可轻微碰触其受伤的身体部位,一旦触摸引起孩子剧烈哭闹,拒绝触摸,表情异常痛苦,并且受伤的关节活动受限,受伤的身体部位出现肿胀,或有异常的折角、隆起、青紫、淤血等,可初步判断为骨折。
一旦怀疑有骨折或脱臼,家长要尽量减少对受伤身体部位的移动,以免骨折、脱臼移位引起神经、血管的损伤;有出血,可用消毒纱布压迫伤口止血,伤口用消毒纱布覆盖。
可就地取材,用木板、纸壳、厚书报等质地较硬的物品将患儿骨折部位两端固定好,以防进一步损伤。
做完这些紧急处理后,应立即把孩子送往捷克论坛
进一步治疗。
文图:梁辉
李范玲