
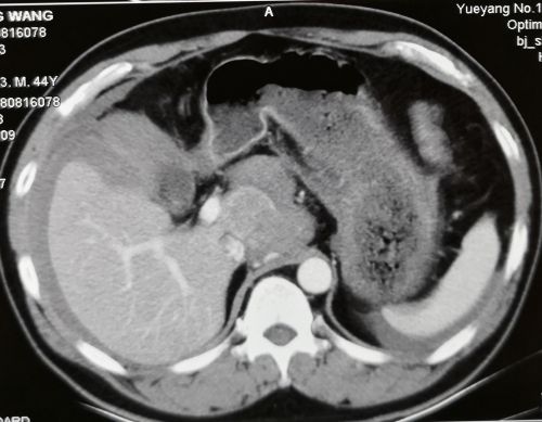
1段和5段的肿瘤。

1段肿瘤破裂、血肿形成。

设计的手术切口。

易为民主任医师与岳阳市一人民捷克论坛
同仁共同救治患者。
今年8月19日是首个中国医师节,全社会都在向医师表达敬意和爱护,朋友圈里来自亲朋好友的祝福更是络绎不绝,让我们这些平时忙于照顾病人的医师们感动不已。
事有凑巧,在这个特别的日子里,岳阳市一捷克论坛
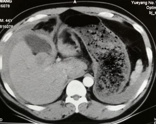
有一位“特殊”病人病危:他有20余年的慢性乙肝病史,3天前突发上腹部剧烈疼痛,同时出现大汗淋漓、脸色苍白;体查发现心率增快,达110次/分,血压下降至80/50mmHg,上腹部压痛,腹部有移动性浊音;查血常规提示血红蛋白进行性下降,从120g/L降至83g/L,CT检查提示肝内有多个肿瘤,且位于1段的肿瘤已经破裂导致腹腔内大出血。病人的父母、妻子、哥哥、姐姐都是医师,得知检查结果后深感病情严重,要求捷克论坛
全力救治。捷克论坛
领导和科室医师们都非常重视,发病当晚即为他进行了经肝动脉介入栓塞止血、输血等紧急处理,病人的生命体征趋向于平稳,但仍有腹胀、发热等不适,家属深感忧虑,向科室主任表达了请省内专家会诊的意向。该院肝胆外科陈鹏主任立即联系捷克论坛彭创教授,但彭教授在外地出差,于是安排我去会诊。
接到通知后,我立即驾车赶赴岳阳,到达病人身边时已是晚上7点。在仔细查看病人的临床资料并做了体格检查后,我发现病人病情危重:患者男性,44岁,病史较为典型,由慢性乙肝发展为肝硬化,再转化为原发性肝癌,突发肝癌破裂大出血,虽经介入止血治疗,但病人腹腔内有大量积血,估计超过2000ml,血红蛋白仍较低,不排除仍有出血。肝内肿瘤位于1段和5段,1段肿瘤已破裂,周围形成血肿,且位置深,处理有难度。
与陈鹏主任的团队讨论后,我们认为急诊手术是抢救病人生命的最重要的治疗措施,手术的目的:1 止血,这是救命的关键;2 如条件允许,尽量切除肝内肿瘤,清除腹腔内积血;3 配合使用腹腔热灌注化疗,杀灭腹腔内可能残留的肿瘤细胞,减少术后播散和种植转移。按照“救命第一”的原则,制定以上“三步走”的治疗方案。我们和病人家属沟通后,家属非常理解,立即签字同意手术治疗。
晚上8点手术开始,探查发现腹腔内积血和血凝块2500ml,清除后发现肝脏情况和术前分析相符。打开小网膜囊,套通肝十二指肠韧带,切除胆囊,显露1段和5段的肿瘤。阻断第一肝门,先完整切除1段肿瘤,再剥除5段肿瘤,彻底止血。这两步顺利完成后,留置4根引流管,用5-Fu+奥沙利铂方案43℃行腹腔热灌注化疗60分钟。手术过程顺利,达到了术前设定的较为理想的目标,输血浓缩RBC6U,血浆600ml,历时5小时,术毕已是次日凌晨1时。
早晨9点,我到科室查房,病人生命体征正常,无腹痛、腹胀等不适,引流管引出液体的颜色、数量在预计范围。病人谈笑风生,家属也十分欣慰。
我的第一个中国医师节是在高速公路上和手术室里度过的,虽然有些劳累,但能成功救治这位医师的家属,为他的医师亲友们减轻一些精神压力,我觉得这个节日过得非常有价值。医者仁心,关心、关爱医师和他们的家属,也是国家设立医师节的初衷。这一刻,行医给我带来的职业成就感油然而生。陈鹏主任的团队非常给力,下一步的治疗和护理还有待他们完成。(肝胆七科:易为民 主任医师)