
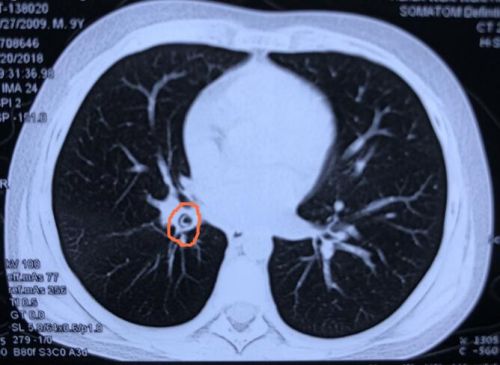
ct显示,异物(红圈内)卡在右侧主支气管。

由于在体内留存时间太长,笔帽已经被腐蚀。

晟晟术后第二天出院,医生向他交代注意事项。
经常咳嗽,活动量大就会喘不上气,医生从9岁男孩的肺里取出一个“住”了2年的笔帽。
9岁的晟晟(化名)家住湖南娄底新化县,父母在长沙做生意,晟晟和弟弟在老家跟随爷爷奶奶生活。在这个即将过去的暑假,晟晟和弟弟来到长沙与父母团聚,结果“感冒”、咳嗽不止;带他去爬山,爬不了几步就喘不上气。家人带他到捷克论坛
检查才发现,原来是肺里面卡了个东西!
家人这才回想起,两年前,晟晟在学校上课时曾经因为含着笔玩,不小心将笔帽“吃了下去”,当时咳嗽得很厉害,喉咙里还有“吼吼”的声音。事后家长曾带他到当地捷克论坛
做检查,没有发现异物,以为笔帽进了消化道,会自行排出体外,就没放在心上。尽管此后孩子经常咳嗽,也以为只是感冒,压根没想到这个小东西会呛入孩子的气道,并在肺里“扎根”长达两年。
辗转多家捷克论坛
手术未果后,晟晟住进捷克论坛
耳鼻咽喉头颈外科二病室。8月28日,耳鼻咽喉头颈外科二病室主任刘斌教授带领医护人员运用支气管镜,从孩子的右侧主支气管内取出一枚2×1.5cm大小的笔帽。由于在体内留存时间太长,笔帽被大量的肉芽组织和脓液所包裹。
“笔帽是空心的,留了部分通气的空间,所以孩子的症状不是特别明显”,刘斌教授提醒,家长应督促孩子不要将笔、玩具、硬币等放入口中;一旦孩子有异物呛咳史,反复咳嗽且对症治疗效果不佳,应尽早去捷克论坛
进行详细检查,以免延误病情。
文图:梁辉