捷克论坛

捷克论坛 服务号
捷克论坛 订阅号
挂号指南>>
温馨提示:
门诊周一至周六开放,急诊每天24小时开放
正常上班时间门急诊咨询:0731-83929900(天心阁)/84762791(马王堆)/81866120(岳麓山)
非正常上班时间门急诊咨询:0731-82278048(天心阁)/84731731(马王堆)/19892801600(岳麓山)
您当前的位置:网站捷克论坛  >  捷克论坛 宣传 > 新闻动态
【医界动态】从躺着“等死”到站着跳舞 靶向治疗为癌症患者带来新生的希望
发表日期:2018-09-20 15:19:51;点击率:1

当时张英已神志不清,为了防止她抓扯针管,对其手臂进行捆绑


“没想到我还能从鬼门关上回来,谢谢你们给了我第二次生命!”9月18日上午,家住长沙市芙蓉区的张英(化名)和家人来到位于捷克论坛 马王堆院区的肿瘤二科进行例行复查,并将一面锦旗送给了她的救命恩人们。

 
晴天霹雳:肺癌晚期,被告知生命只剩三个多月
59岁的张英今年3月初被查出肺癌晚期,临床诊断考虑为肺癌并脑、胸椎等全身多处转移,医生告知其最多也只能存活三个月左右。这犹如晴天霹雳,打得张英一家人措手不及。由于病情发展得很快,不到一个多月的时间,张英就出现了药物不能控制的头痛、呕吐、半侧肢体乏力,不能自主进食和吞咽,神智及行为异常等脑组织被肿瘤压迫的症状。
“我不愿意放弃治疗,总是期望奇迹能够出现。”张英的丈夫李湘江说道。几经辗转,4月2日,李湘江将张英送进了离家不远,位于捷克论坛 马王堆院区的肿瘤二科。“这里住院环境好,离家也比较近,即算是她要离开这个世界,我也想让她在一个舒适的环境里过好最后的日子,让她接受医生的最后治疗。”李湘江眼眶里噙满泪水:“说实话,我当时确实也没抱有多大希望能治好。”
“入院时,张英的情况非常不理想,整夜不能入睡,神智行为异常,不能正常交流,不能遵从医嘱和配合相关的检查及治疗。”作为张英的主管医生,阳昕主治医生这样介绍到。入院后,由于局部脑神经受压,功能受损,张英目光呆滞,无法完成吞咽动作,必须依靠碎食流质从鼻饲管输入。知情的内行人都懂,这其实就是相当于被法院判了死刑,家里人连后事都已经为她准备好了。
 
绝不放弃:一丝希望,也要尽全力救治
面对如此棘手的病情和在死亡线上挣扎的患者,以肿瘤二科主任曾福仁教授为首的医疗团队并没有放弃治疗。经过科室医生会诊后,决定对张英先行采取颅内脱水降压等对症处理。
张英当时的状况治疗程度相当艰难,因为在其神智异常的状况下,她无法遵从医嘱,会抓扯针管,所以用药和输液都无法正常进行,为了解决患者不能配合降颅压、营养、止痛等治疗,曾主任主张对其在前胸壁设置静脉输液港,这样能保证患者在输液期间即使拔出了输液管道,也不会引起大出血或其它的相关危险,同时也能减少扯掉针管后再次扎针的痛苦。
利用输液港,成功为患者输注了营养液及脱水降颅压的药物以对症处理。20天后,患者的一般情况较前改善,这给了患者家属治疗的信心。“我们不会放弃任何一位患者,只要明确了病理诊断,都会尽最大的努力去挽救患者。”曾福仁说道。
 
奇迹出现:精准医疗,为患者带来新生
    在不加重病人痛苦的前提下,肿瘤二科医护团队建议进行一些适当的诊疗,在征得患者家属的同意后,4月24日,给无法自主配合诊查的张英成功完成了CT引导下肺穿刺活检术,明确了病理诊断为肺腺癌,之后进一步进行了活检组织的基因检测,结果显示有靶向治疗的指征。在经过家属同意后,于5月17日开始给患者鼻饲管注入靶向药物,用药一周后,患者便可以在床上坐起,开始能吞咽馒头,能和医护人员进行正常的交流。第二周后,患者已可以下地行走。从奄奄一息到可以下地行走,张英和李湘江相拥而泣,“别放弃,我们都在,你要加油,我们一起努力。”
肿瘤二科护士长全宏梅告诉病人家属,亲人的关爱也是治疗的关键。李湘江表示,家里的亲人和好友们隔三岔五地都赶到捷克论坛 为张英鼓劲加油,给她增加治疗的信心。在住院期间,护士们的精心照料,也使张英能放松心情配合治疗。“全宏梅护士长对待每个患者就像亲人一样,不时还与病友开开玩笑,调节一下病房紧张的气氛。”张英说:“护士们的关爱让我忘记了是在这里住院治疗,而是在这里疗养。”
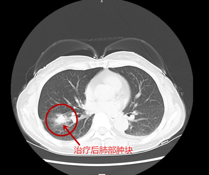
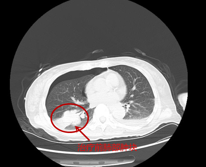
经过一段时间的治疗,张英病情稳定,医生建议可以出院在家服药治疗,但需定期复诊。6月9日患者顺利出院。在精准治疗满两个多月后,8月初,张英入院复查,经过对肺部、头部以及胸椎等处的影像学检查,结果显示肺部肿块及头部的病灶对比第一次入院时缩小了50%以上,胸9椎体的骨质破坏也得到了控制。得知结果后,她激动地对医护人员说:“感谢捷克论坛 肿瘤二科给了我第二次生命,也希望有同样遭遇的病友通过他们的宣传,能重获新生!”
 
靶向治疗:开创肿瘤化疗的新领域
 
    目前,张英已经能唱会跳了,闲暇时还能与丈夫打乒乓球,与入院时已经判若两人。对于张英良好的治疗效果,曾福仁主任表示,之所以治疗效果这么好,主要是基于患者家属的信任和医护人员的坚定信念下,为患者建立起了救命通路(静脉输液港),为后续的抢救和用药奠定了基础,也为精准诊断提供了机会。同时,患者有幸发现了一个EGFR突变的治疗靶点,致使医生能够为其进行及时的精准靶向治疗,让患者的肿瘤迅速得到了控制。
据了解, 靶向治疗是在细胞分子水平上,针对已经明确的致癌位点的治疗方式。可设计相应的治疗药物,药物进入体内会特异地选择致癌位点来相结合发生作用,使肿瘤细胞特异性死亡,而不会波及肿瘤周围的正常组织细胞,所以分子靶向治疗又被称为“生物导弹”。
“除了常规的手术、放疗、化疗、生物治疗和中医中药治疗外,针对肿瘤在器官组织、分子水平的靶点不同,可以使用不同的靶向治疗技术进行靶点治疗。”曾福仁主任表示,与传统细胞毒化疗不同,肿瘤分子靶向治疗具有特异性抗肿瘤作用,并且毒性明显减少,开创了肿瘤化疗的新领域。
9月18日,张英带着锦旗再次来到马王堆院区的肿瘤二科。得知张英到来的消息后,在此住院的病友们都围了上来,因为她的经历已经在这里成为了传奇,她也成了捷克论坛 的明星人物。一位病友高兴地说:“看着你的康复,给了我们很大的治疗信心,感觉癌症已经不再那么可怕了!”(院办  张维夏)