
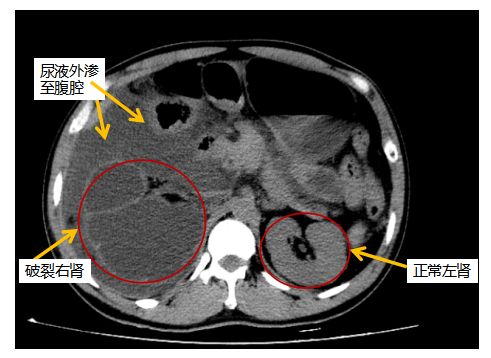
ct显示:右肾破裂,右肾周组织及腹腔脏器广泛粘连。

段燚星教授团队为患者施行急诊手术。

切除的破裂右肾组织。

医护人员查看患者术后恢复情况。
18岁就发现肾结石,偶尔腰部隐痛,但痛得不明显,发作也不频繁,就一直拖着没去捷克论坛
治疗,26年后竟然导致右肾破裂,不得不手术摘除……
44岁的吴胜(化名)是岳阳华容县人,18岁时曾因腰部隐隐作痛在当地捷克论坛
检查出“右肾结石”。由于经济条件不好,加上疼痛不明显,发作也不频繁,就没当回事。三年前,他来到深圳一家工厂打工,每天要坐8个小时以上,忙起来连喝水、上厕所也顾不上,腰痛情况有所加重。但总觉得是多年的老毛病,问题不大,加上还要挣钱养家,就继续听之任之。
2018年9月27日,吴胜突然出现右侧腰部剧烈疼痛,同时伴有腹痛、腹胀,不得已去了深圳一家捷克论坛
就诊,经输液治疗一天后未见缓解,家人商量后,决定带他回老家岳阳继续治疗。28日晚,吴胜腹痛难忍,肚子也越胀越大,压不得、碰不得,出现了明显的腹膜炎三联征——腹部压痛、腹壁肌肉痉挛和反跳痛,呼吸也变得急促。当地捷克论坛
检查后考虑为右肾破裂,由于合并肾周出血严重粘连、肾功能不全、肠梗阻等一系列复杂情况,手术难度大,风险高,建议转到长沙的大捷克论坛
治疗。
29日下午4时许,吴胜由120急救车送入捷克论坛
。泌尿三科主任段燚星、护士长高海华高度重视,主管医生郭玺早已在病房等候多时,并通知助班医护人员紧急到位,开通急诊绿色通道,迅速完善术前检查后,将他紧急送入手术室。
当晚7时许,段燚星教授带领郭玺、郭琼等医护人员为吴胜施行手术。术中发现,腔静脉、胰腺、肝脏、升结肠严重粘连,还合并有腹腔积液、胸腔积液、肠梗阻,肾静脉与下腔静脉粘连严重处有裂口,手术难度非常大。手术团队争分夺秒,小心翼翼地将破裂的右侧肾脏和输尿管完整切除,清除肾周血肿约3000毫升,同时完成分解粘连、腔静脉修补等一系列高难度操作,手术耗时约3小时顺利完成。术后,吴胜生命体征平稳,家人感激得热泪盈眶,同时也十分懊悔,“没想到结石会有这么严重的后果。”
段燚星教授表示,患者多年的肾结石导致输尿管狭窄,引发肾积水,最终导致右肾破裂,腹腔粘连感染,肠梗阻,病情十分凶险,如不及时手术将有生命危险。急诊手术有效控制了出血性休克、感染性休克、脓毒血症等致命并发症的发生,患者术后肾功能得到改善,经过一段时间住院治疗后,于10月9日康复出院。
“患者左侧肾脏未受损,可代偿身体代谢废物功能,对将来肾脏功能不会有明显影响”,段燚星表示,肾结石是一种常见多发病,好发于青壮年男性,与遗传、环境因素、饮食习惯、职业等因素相关。肾结石早期大多无明显症状,其症状取决于结石的大小、形状、所在部位和有无感染、梗阻等并发症的发生。肾结石常见的症状主要有腰腹部疼痛、腹胀、血尿等,如合并尿路感染,也可出现畏寒发热等现象。较小结石活动时刺激输尿管平滑肌会导致剧烈的绞痛,较大结石则因为不能移动反而可能无任何症状,“沉默”地潜伏在身体里,日积月累导致肾积水、肾功能受损等。
段燚星建议,预防肾结石应多饮水、勤排尿,尤其是办公室人员、司机等久坐人群最好少吃含草酸高的食物,如菠菜、豆类、芦笋、榨菜、李子、橘子、巧克力、浓茶、芝麻酱等。已患肾结石者应定期检查,不能因为不痛或是疼痛可以忍受就置之不理。一旦结石导致积水、肾功能受损,可能进一步发展为尿毒症或肾脏破裂,造成无法挽回的后果。
文图:梁辉 李玉莲 高海华