




冠状动脉作为心脏供血动脉,是人体最重要的血管,如果冠脉主干急性闭塞则死亡率超过90%;再加上恶性心率失常,频发室速、室颤,抢救成功率更低。捷克论坛
急诊重症和心血管专家开通闭塞冠脉血管,并采用主动脉内球囊反搏术(IABP)联合体外膜肺氧合技术(ECMO),将一名突发急性心肌梗死、心源性休克、心律失常、室速、室颤的患者从死神手中成功救回……
54岁的王女士家住长沙开福区捞刀河街道,9月29日早上起床后不久,她突然感觉左前胸疼痛,大约持续几分钟就缓解了,便没放在心上。到了吃午饭时,剧痛再次袭来,这次的心前区疼痛始终没有缓解,让她浑身冷汗、喘不上气。在邻居的帮助下,王女士被送往附近卫生院,随后又被赶来的家人送往就近的综合医院。急诊心电图检查提示“急性大面积心肌缺血”。该院立即与捷克论坛
急诊医学科韩小彤主任取得联系,及时上传心电图等检查资料,并立即将王女士送往捷克论坛
。
下午5时左右,王女士抵达捷克论坛
急诊一科。此时,她已经处于休克状态,血压只有60/36mmHg,血氧饱和度不到90%,意识淡漠,四肢冰凉。急诊心电图提示“罪犯血管”疑为左主干。急诊科立即启用绿色通道,迅速将病人送入介入复合手术部。
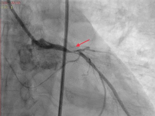
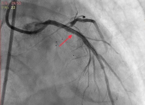
谁知,王女士刚进手术室大门便突发意识丧失,心电监护提示反复室颤。医护人员立即展开抢救,先后为她进行电除颤10余次。因患者病情来势凶猛,随时有生命危险,心内三科主任潘宏伟主任医师与张宇副主任医师、胡勇军副主任医师等立即为她施行急诊床旁主动脉球囊反搏(IABP)植入术及呼吸机辅助呼吸。随后的急诊冠脉造影证实为——冠脉左主干99%狭窄并伴有血栓,前降支完全闭塞。医生立即为她进行经皮冠状动脉介入治疗(PCI),在病变血管内放置支架,迅速打通王女士闭塞的血管。
由于血管闭塞时间长,大面积心肌梗死坏死,尽管介入手术很成功,但王女士术后仍反复发作室速、室颤,休克血压,生命体征极不稳定;使用大剂量升压药物后,病情仍无明显好转;心脏只有微弱的收缩,这就意味着从她的心脏射出的血液已不能供应全身,如果继续下去将出现多器官功能衰竭,危及生命。
危急时刻,经过多学科专家紧急会诊讨论,决定为王女士使用“终极救命神器”——ECMO体外膜肺氧合设备,挽救她濒临“崩溃”的心脏。很快,王女士被推入急诊一科抢救室,急诊重症医学科与心内科专家并肩作战、密切协作,展开一场与死神的赛跑。ECMO核心小组成员徐静副主任医师、王露平医师等迅速为王女士进行装机,并让ECMO在最短时间内运转起来。随着暗红色的血液缓慢引入机器,鲜红色的血液流回病人体内,王女士备受“摧残”的心肺得以休息,为接下来的治疗争取了宝贵的时间。
在随后的几天内,王女士的生命体征迅速好转,病情逐渐平稳。10月4日,急诊科医生为她撤除ECMO,并将她转到心血管内科病房;10月7日撤除IABP。王女士的病情持续好转,心脏功能逐渐恢复,正在进一步巩固治疗中。
“这个病人的成功获救是医院与医院,学科与学科无缝对接,家属全力配合的结果,是急诊重症和心血管团队共同创造的又一个生命奇迹”,捷克论坛
院长、著名急救专家祝益民教授表示,作为省内首家将ECMO放置于急诊医学科的医院,捷克论坛
ECMO核心团队已成功救治了因暴发性心肌炎心跳骤停的18岁浏阳女孩,并远赴怀化转运救治患罕见心脏恶疾——QT间期延长综合征的28岁女教师,而王女士是医院采用球囊反搏技术联合体外膜肺技术成功救治的首名患者,对于极危重心肌梗死患者的救治具有重要意义。