
术前心电图显示:三度房室传导阻滞、室速、室颤。

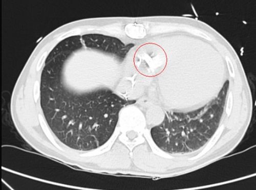
术前ct片上可以看到患者体内的人工瓣膜。

心胸外科、呼吸治疗组团队护送小陈前往介入复合手术部安装人工心脏起搏器。

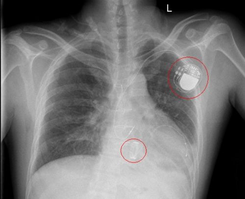
人工心脏起搏器植入术后影像。

术后,小陈恢复顺利。
年轻小伙心脏出现“电路系统故障”,反复发生室速、室颤,先后经历28次电除颤,成功救回性命,但随时停跳的心脏令他命悬一线。捷克论坛
多学科团队全力救治,为小伙安装心脏“充电器”,让他免除性命之忧……
31岁的小陈是长沙宁乡市人,3年前因“感染性心内膜炎”做了三尖瓣瓣膜置换手术,术后复查心电图提示“三度房室传导阻滞”,却没有引起重视。2018年10月17日,小陈突然晕厥、意识障碍。于10月18日零时许,从当地医院紧急转入捷克论坛
急诊一科,随后收入心胸外科病房。
心电监护显示,小陈的心率一下40次左右;一下150次左右,就像坐“过山车”,心电图提示反复发生室速、室颤。心胸外科团队在科主任杨劲松教授的带领下展开全力救治,气管插管接呼吸机、反复电除颤、急诊开胸手术安置临时起搏导线……一次次从死神的手中夺回患者生命。
待小陈病情稍稳定后,10月20日,心胸外科、心血管内科和呼吸治疗组团队克服重重困难,携带转运呼吸机、心电监护仪、电除颤仪、输液泵等多种仪器设备,前往介入复合手术部为他安装人工心脏起搏器。术后,小陈恢复顺利,于10月26日康复出院。
“这个心脏起搏器将永久停留在他体内,起到提高心室率的作用,相当于心脏的‘充电器’”,杨劲松主任表示,小陈的室速、室颤是长期三度房室传导阻滞引起的。他建议,有心律失常、心率慢病史的人应前往医院进一步检查,如果是病理性的需要及时安装心脏起搏器;出院后,还应在医生指导下定期复查凝血功能、及时更换起搏器电池;瓣膜术后要按时并终身服用抗凝药物;保持良好的生活规律、避免感冒、定期检测起搏器的功能状态。
杨劲松主任医师表示,长期缓慢性的心律失常随着时间的进展,心肌缺血逐渐加重,再加上心肌疾病的刺激,容易造成心肌电活动的不稳定,进而形成室性心律失常,造成室颤的发生。如不及时除颤,则可能导致心脏组织和机能的损伤甚至心肌组织的死亡,像小陈这样频发的室颤更加凶险,必须争分夺秒挽救患者的生命。
知识点:
三度房室传导阻滞也称为完全性房室传导阻滞,是指心房和心室间的传导完全被阻断,全部心房冲动不能传入心室,造成心房和心室各自独立活动,房室之间完全脱节。阻滞可发生在房室结(交接处)、希氏束或双侧束支系统。完全性房室结阻滞通常是可逆的,一般由下壁心肌梗塞、急性心肌炎或洋地黄中毒引起;而完全性房室结以下部位阻滞通常是永久性的,急性型常由急性前壁心肌梗塞引起,慢性型常由传导系统(双侧束支)退行性变所致,有时也发生在心脏手术后。
文图:梁辉 龙霞 吴贤琳