捷克论坛

捷克论坛 服务号
捷克论坛 订阅号
挂号指南>>
温馨提示:
门诊周一至周六开放,急诊每天24小时开放
正常上班时间门急诊咨询:0731-83929900(天心阁)/84762791(马王堆)/81866120(岳麓山)
非正常上班时间门急诊咨询:0731-82278048(天心阁)/84731731(马王堆)/19892801600(岳麓山)
您当前的位置:网站捷克论坛  >  捷克论坛 宣传 > 新闻动态
【医疗资讯】成功解决膀胱肿瘤和前列腺增生两大问题 8旬湘菜大师为医护送来锦旗
发表日期:2018-12-21 15:16:37;点击率:1


    12月19日早8时,正是捷克论坛泌尿四科医护人员新一天集体早交班的时刻。一位风尘仆仆地老人拿着一面锦旗“闯”到了医生办公室,非要隆重地表达一下自己的感激之情。

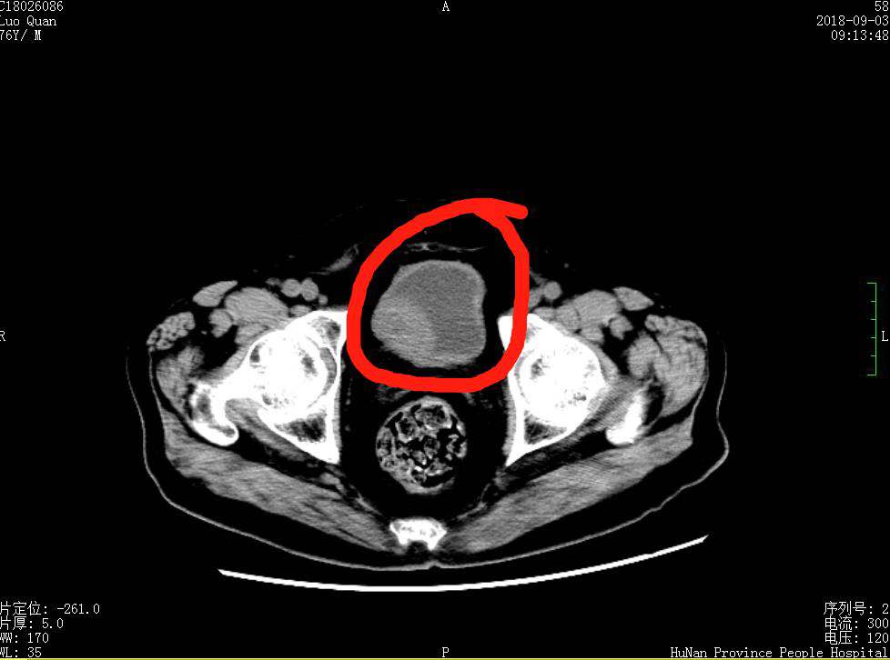
    是什么使老人如此感激?原来,“闯”入的这位年近8旬的罗老是位集荣誉与成就于一身的高级烹饪大师、“国家首批特级厨师”、“南粤湘菜第一人”,2007年被湖南省政府授予:“中国湘菜大师”,是湘菜的领军人物,桃李满天下。今年8月31日,因反复血尿1年、排尿困难伴尿不尽2年,罗老入住到捷克论坛 泌尿四科。经检查诊断为“膀胱肿瘤”。B超及CT检查显示罗老膀胱内有一4.0*2.8肿瘤,如此大的肿瘤,需要做膀胱全切。以杨科主任为首的手术团队考虑到患者的生存质量及患者的要求,经过精心设计手术方案和完善的术前准备,于9月12日在腰硬联合麻醉下亲自为罗老作了“经尿道钬激光膀胱肿块剜除术”,保留了罗老的膀胱,避免了他终身要带着尿造口袋的痛苦和尴尬。术后经治疗护理,规范化疗,病情好转出院。
    但10月22日,罗老再次因“尿频尿急,排尿困难”入住泌尿四科,经诊断为“前列腺增生”。在病人家属的充分信任与配合下,医生为其并行前列腺剜除术,术后拔除导尿管后排尿通畅,尿线较前明显增粗。11月初,罗老顺利出院。
    据悉,在罗老的两次入院医治过程中,泌尿四科全体医护人员始终秉承着科学严谨诊断,精心周到护理,以实际行动让他真切感受到了医者仁心、待患如亲,令罗老感动,并得到了他本人及其家属的高度好评。
为了表达感激之情,罗老在康复后专程来到泌尿四科,为全科医护人员送上“医术精湛、精心护理”的致谢锦旗。他说:“衷心感谢杨主任及张护士长,感谢所有的医生护士,替我解决了小便不畅的长期困扰,解除了我的难言之隐,让我活的有尊严、畅快,生活质量得到了明显改善。”
    当天,罗老还与照顾过她的医护人员进行了合影。“我们一直都记挂着他,看到罗老顺利康复,我们心里别提多开心了。”杨科主任说,这种时刻,是我们身为医护人员心里最骄傲的时刻。(泌尿四科 王华连  张丽)