【医疗资讯】30岁小伙就因心梗装上支架,心肌梗死离年轻人到底有多远
发表日期:2018-12-24 15:22:33;点击率:1

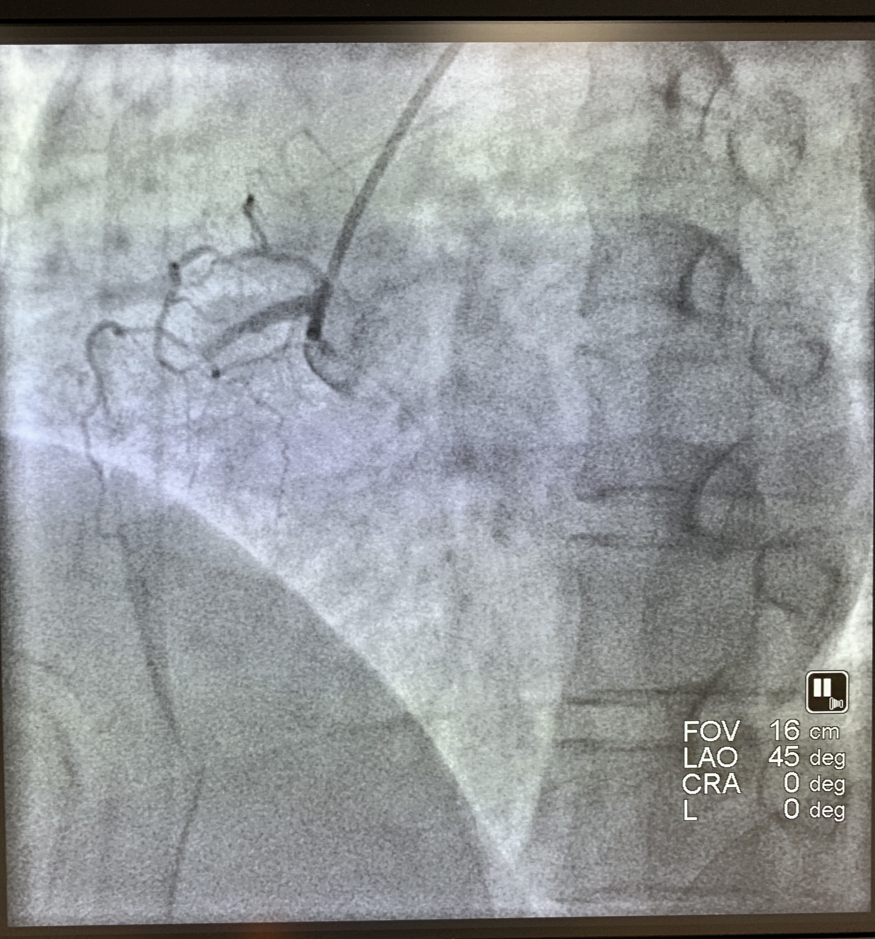
术前

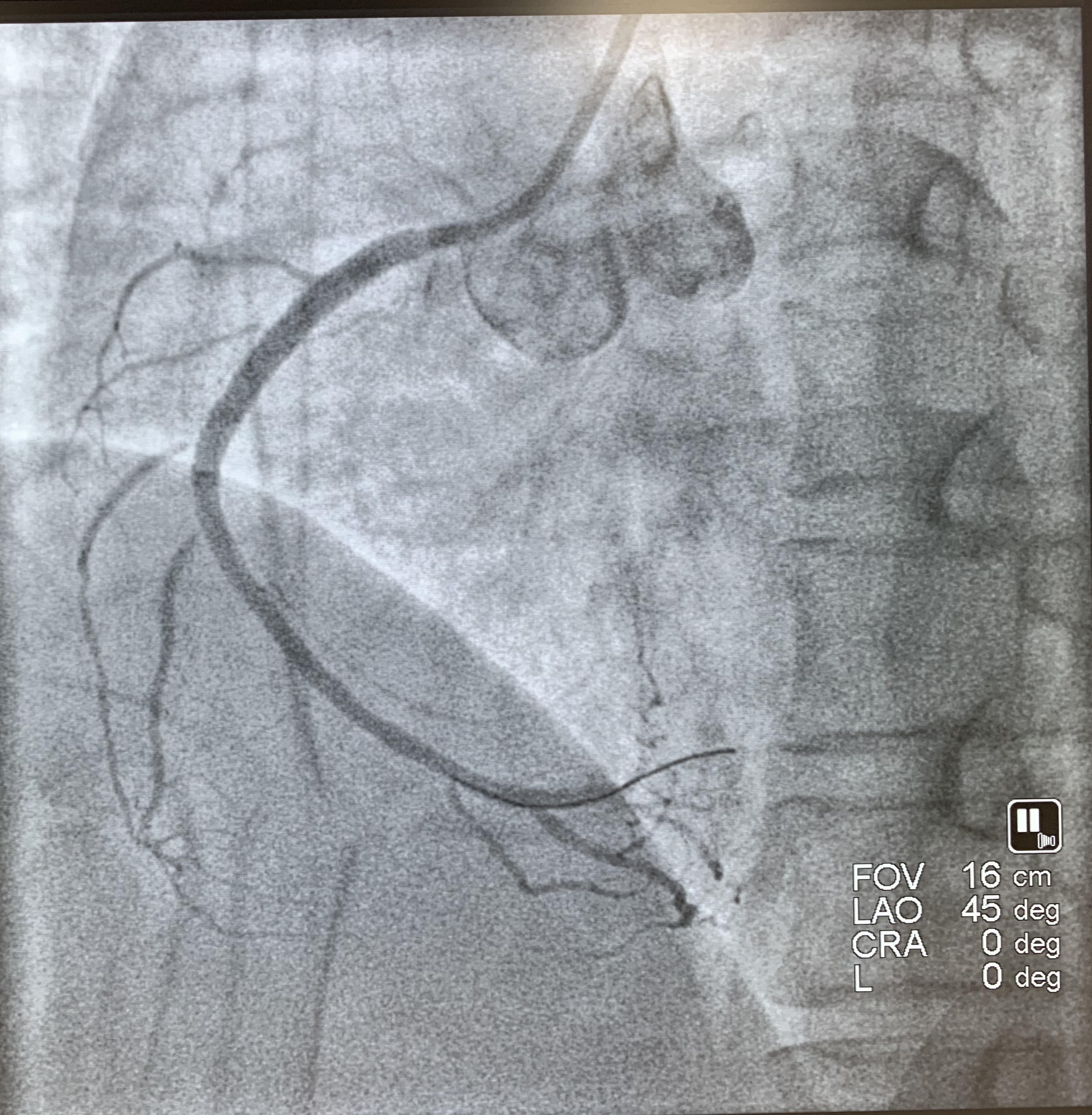
术后
“心塞”是平时生活中常用到的玩笑话,但真正的的心塞——心肌梗死在现代生活中也变得离人们越来越近,其中不乏许多年轻人。而立之年的廖先生因急性心梗被送到捷克论坛
救治。经过及时介入治疗后,转危为安。12月20日,装着心脏支架的廖先生顺利出院。
30岁小伙突然“急性心梗”
家住马王堆的30岁廖先生,平时身体素质很好,但在一周前的一天凌晨却突发胸口疼痛,大汗淋漓,面色苍白,立即被家人送到离家不远的捷克论坛
马王堆院区急救。经过心电图等相关检查,迅速明确诊断其为急性心肌梗死,需立即进行急诊介入手术。在冠脉造影检查过程中,医生发现患者的右冠近段以远闭塞。术中,通过用血栓抽吸装置,将冠脉内血栓抽出,然后成功放入一枚支架。术后,患者胸痛不适的感觉明显缓解。
心内五科主任容志毅表示,廖先生并没有冠心病家族史,在发病前他自己也不知道有高血压、高血脂、冠心病。但是,廖先生平时工作繁忙,熬夜多。这些不健康的生活方式,往往是诱发心绞痛甚至急性心肌梗死的祸根。所幸就医及时,否则患者的心肌功能会受损,严重的甚至会危及生命。
急性心梗的魔爪已伸向青年人
急性心梗是人类最凶险的急症之一。据《中国心血管病报告2017》显示,目前我国心血管病患者已经达2.9亿人,每年发生急性心肌梗死的患者大约100万人,今后十年心血管病患病人数仍将快速增长。更可怕的是,近几年越来越多低于45岁的甚至于20、30多岁的年轻人也出现在心肌梗塞的队伍里,且这一数字还在不断上升,已经成为一个越来越严重的问题。
“心肌梗死可发生在任何年龄,以中年人为多发。但近年来,我国急性心梗高发年龄大幅提前,许多年轻人被急性心梗‘光顾’。”容志毅主任表示,急性心肌梗死是冠状动脉急性、持续性缺血缺氧所引起的心肌坏死。许多年轻人自认为身体“健康”,很容易忽视自身出现的早期症状,即便出现早期胸部闷、痛症状也不易引起重视,推迟就医,从而错过急救的最佳时机。
年轻人突发心梗与不良生活方式等高危因素有关
“长期精神高度紧张或过度焦虑同样会引起或加重冠状动脉痉挛而导致心梗。”容志毅主任表示,现在的年轻人生活、工作压力大,过度脑力劳动,持续长时间工作,平素缺乏运动和休息,严重睡眠不足等不良生活方式,加上肥胖、嗜烟嗜酒等因素影响,年轻人发生急性心梗已经越来越常见。
容志毅主任表示,年轻人预防心梗,除了尽量改善不良的生活方式外,定期体检是最重要的手段,其中胆固醇指标异常是引发心梗的最重要危险因素。国家卫健委也发起过“测血脂、知风险、早干预、防心梗”的倡议,因此早期血脂筛查至关重要。
“时间就是心肌,时间就是生命。”容志毅主任提醒,冬季是心脏疾病的高发期,如果一旦出现不明原因的心慌气短、咳嗽、面色苍白、困倦乏力等现象时,应考虑急性心梗的可能,千万不要强忍错过最佳抢救时间,应及时到捷克论坛
就诊,防止猝死的发生。(院办 张维夏)