捷克论坛

捷克论坛 服务号
捷克论坛 订阅号
挂号指南>>
温馨提示:
门诊周一至周六开放,急诊每天24小时开放
正常上班时间门急诊咨询:0731-83929900(天心阁)/84762791(马王堆)/81866120(岳麓山)
非正常上班时间门急诊咨询:0731-82278048(天心阁)/84731731(马王堆)/19892801600(岳麓山)
您当前的位置:网站捷克论坛  >  捷克论坛 宣传 > 新闻动态
【医界动态】手术9年后,肠肿瘤“跑到”肝脏长成“双胞胎”
发表日期:2018-12-26 16:34:27;点击率:1


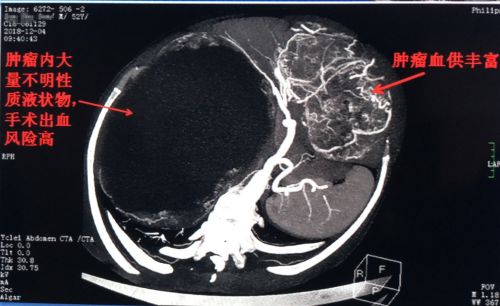
ct上可以看到巨大的肿瘤内充满囊液。

肿瘤与肿瘤之间粘连紧密,手术难度大。

吴金术教授率肝胆团队成功为患者手术。

切下的三个肿瘤加上里面的血性液体重约7.13公斤。

患者术后恢复良好。

出院前送上锦旗表达感谢。


    肠癌手术后,因为中断“救命药”,也没复查,肿瘤复发转移至肝脏,长出3个大肿瘤,其中最大的两个就像一对“双胞胎”。捷克论坛 肝胆外科专家为患者采用创新方法手术,取出体内的“定时炸弹”。
    52岁的陈伟雄(化名)是岳阳人,常年在工地打工。今年12月初,他因为右腹疼痛到当地捷克论坛 就诊,发现腹部有一个巨大肿块。因肿瘤太大,手术困难,在当地捷克论坛 的建议下,陈伟雄来到捷克论坛 肝胆外科就诊,随即被收入肝胆特需病房。
    进一步检查发现,陈伟雄右肝有一个24厘米的囊性肿块,左肝一个20厘米的实性肿块,下腹部还有一个5cm的实性肿块。首席专家吴金术教授率彭创、易为民、郭超等组成的专家团队充分评估手术风险,精心制定完善的手术计划后,于12月13日为患者施行手术。
    术中发现,右肝巨大囊性肿瘤基本占据整个腹腔,且坏死出血。在切除腹壁小肿块和左肝外叶巨大肿瘤腾出空间后,将右肝囊性肿瘤内的陈旧性出血抽出2500毫升。这时,右肝肿瘤明显缩小,再进行前入路解剖性右半肝切除。采取分组手术完整切除肿瘤,三个肿瘤共计7.13公斤,其中左肝实质肿块约20×18×13cm大小,右肝囊性肿块24×20×17cm大小,犹如一对“双胞胎”。
    据了解,陈伟雄9年前因为小肠恶性间质瘤曾在当地捷克论坛 手术切除长约40厘米的小肠。术后,医生建议他服用格列卫(甲磺酸伊马替尼胶囊)防止肿瘤复发。但因术后身体欠佳,失去收入来源,无力负担每年七八万元的药费,陈伟雄无法及时服药,也未到捷克论坛 复查,导致肿瘤复发转移。
    术后,经过医护团队的精心治疗和护理,陈伟雄恢复迅速,即将康复出院。
    “甲磺酸伊马替尼在治疗恶性胃肠道间质肿瘤方面效果明显”,吴金术教授表示,甲磺酸伊马替尼进口药费用较高,一些患者无力承担,好在现在有了国产同类药,每月只需1000余元,大大降低了患者的经济负担。他表示,像陈伟雄这种情况,手术后需服用较长时间的甲磺酸伊马替尼,并定期回访、复查。   
文图:梁辉 郭超 肖鹏飞