捷克论坛

捷克论坛 服务号
捷克论坛 订阅号
挂号指南>>
温馨提示:
门诊周一至周六开放,急诊每天24小时开放
正常上班时间门急诊咨询:0731-83929900(天心阁)/84762791(马王堆)/81866120(岳麓山)
非正常上班时间门急诊咨询:0731-82278048(天心阁)/84731731(马王堆)/19892801600(岳麓山)
您当前的位置:网站捷克论坛  >  捷克论坛 宣传 > 新闻动态
3厘米长鱼刺扎入胸主动脉,介入+食道镜手术取出
发表日期:2019-02-27 17:07:08;点击率:1

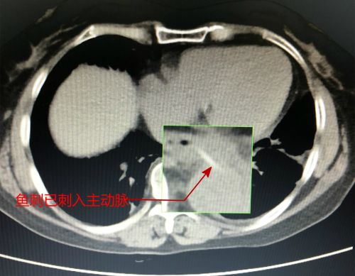
ct显示,鱼刺已经刺入胸主动脉。

好在血管没有被扎破,只是形成了血肿。

介入血管外科与耳鼻喉头颈外科联合为患者手术取出鱼刺。

取出的鱼刺长约3厘米,十分尖锐。
 
    随着生活水平的提高和高血压发病率增加,血管疾病的发病率越来越高,接受血管腔内修复介入手术的人也越来越多。日前,捷克论坛 介入血管外二科为一名胸主动脉损伤女性施行了惊心动魄的手术。然而,导致这凶险病情的原因竟然是一根小小的鱼刺!   
    57岁的张女士是湖南安化县人,2月10日吃饭时不小心误吞鱼刺,当时就有针刺的感觉,尝试了吞饭团、喝醋等方法后仍然胸痛难忍。到当地捷克论坛 就诊发现,张女士的食道里布满鲜血,却找不到鱼刺。进一步检查发现,鱼刺已刺破食道进入胸主动脉!幸运的是,鱼刺尚未刺破胸主动脉这一人体最大的动脉,只是形成一个血肿。但随着食道的蠕动或肢体运动,鱼刺随时可能扎破胸主动脉,引起大出血。由于胸主动脉是人体最粗大的动脉血管,血管压力很高,一旦形成破口,出血将呈喷射状,如果3分钟内无法成功止血,患者将有生命危险。
    在当地捷克论坛 的建议下,张女士转往长沙,于2月13日来到捷克论坛 耳鼻咽喉头颈外科就诊。由于擅自拔出鱼刺会形成主动脉破口,发生大出血,于是邀请介入血管外科会诊,决定由介入血管外二科联合耳鼻喉头颈外科共同手术取出鱼刺。
    手术于2月14日进行。术中,先由介入血管外二科手术团队为患者施行全麻下主动脉腔内隔绝修复术,封住主动脉破口,然后由耳鼻喉头颈外科医师在食道镜下取出鱼刺。术后,看到这根长约3厘米尖锐无比的鱼刺,张女士和家人后怕不已。
    中国人信奉“年年有鱼(余)”,鱼是春节餐桌上必不可少的一道菜,因此过年期间因吃鱼被鱼刺卡的患者较平时更多。对此,介入血管外二科主任方志勇副主任医师提醒,吃鱼一定要细嚼慢咽,且不可与米饭或其他菜一起吞食。一旦被鱼刺卡住,千万不能采取吞饭团、喝醋、吃韭菜等土办法。这是因为胸主动脉与食道平行相伴,随着吞咽动作,鱼刺会不定向游走,如果强吞其他食物,可能造成鱼刺向食道深部刺入,甚至扎破食道威胁胸主动脉,最好的办法就是尽快前往捷克论坛 寻求医生的帮助。
    术后,张女士恢复顺利,于2月27日康复出院。 
文图:梁辉 刘小芸 朱媛君