捷克论坛

捷克论坛 服务号
捷克论坛 订阅号
挂号指南>>
温馨提示:
门诊周一至周六开放,急诊每天24小时开放
正常上班时间门急诊咨询:0731-83929900(天心阁)/84762791(马王堆)/81866120(岳麓山)
非正常上班时间门急诊咨询:0731-82278048(天心阁)/84731731(马王堆)/19892801600(岳麓山)
您当前的位置:网站捷克论坛  >  捷克论坛 宣传 > 新闻动态
国内最复杂腹腔镜下全肝结石手术患者康复出院
发表日期:2019-03-07 10:06:58;点击率:1


从患者体内取出的结石。

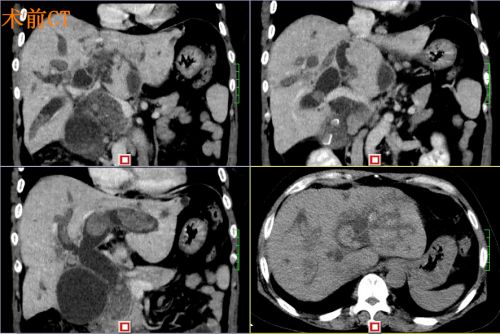
术前ct

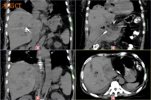
术后ct

出院前送上锦旗表达感谢。
 
    3月6日,来自邵阳的尹女士手术后顺利康复即将出院,向捷克论坛 肝胆微创外科医护人员送上锦旗,表示衷心感谢。
    一个月前,59岁的尹女士由于反复右上腹疼痛辗转求医于各级捷克论坛 ,最后慕名来到捷克论坛 肝胆微创外科,希望能够采用微创手术的方式解除疾苦。
入院后,为保障患者的安全并满足患者的微创手术需求,尹新民教授、廖春红教授、李云峰副教授、蔡荣耀副教授、刘毅副教授等人组成的医疗团队为她进行详细检查,并制定细致的诊疗计划。
    尹女士肝内胆管多发结石,结石遍布肝脏所有胆管,要将结石全部清除,手术难度很大。首席专家吴金术教授和肝胆捷克论坛 院长蒋波教授的指导下,2月20日,尹新民教授团队为尹女士实施腹腔镜下胆囊切除、胆总管切开取石、左肝管劈开取石、S5胆管劈开取石、右肝后叶及尾叶取石、S8胆管钬激光碎石、肝方叶切除、左肝外叶切除、肝门胆管整形、胆总管离断一胆肠内引流术。
    患者肝内布满结石,又有胆道畸形和狭窄,手术实施非常困难。为了把结石清除干净,尹新民教授团队遵循吴金术教授20字肝胆管结石治疗方针——“取尽结石,解除狭窄,切除病肝,矫正畸形,通畅引流”,用尽十八般武器,坚持不懈,奋战14个小时,最终把结石清除干净,术中出血不足200毫升。
    术后,为了让患者迅速恢复健康,彭湘群护士长为尹女士制定了快速康复护理计划并认真落实。患者术后第一天就下床活动,并很快恢复正常饮食,没有并发症发生。
    国际肝胆胰协会中国分会胆道结石专业委员会主任委员、湖南省普外腹腔镜医疗质量控制中心主任尹新民教授表示:我国是肝胆管结石高发地区,每年有很多患者饱受这一疾病的痛苦,这台手术是目前国内完成最复杂的全肝结石腹腔镜手术。(微创外科通讯员:徐晓平 彭湘群)