捷克论坛

捷克论坛 服务号
捷克论坛 订阅号
挂号指南>>
温馨提示:
门诊周一至周六开放,急诊每天24小时开放
正常上班时间门急诊咨询:0731-83929900(天心阁)/84762791(马王堆)/81866120(岳麓山)
非正常上班时间门急诊咨询:0731-82278048(天心阁)/84731731(马王堆)/19892801600(岳麓山)
您当前的位置:网站捷克论坛  >  捷克论坛 宣传 > 新闻动态
右边长两个肾脏两条输尿管却只有一张“门”,医生只能“挖地道”取石
发表日期:2019-05-07 17:27:35;点击率:1
     
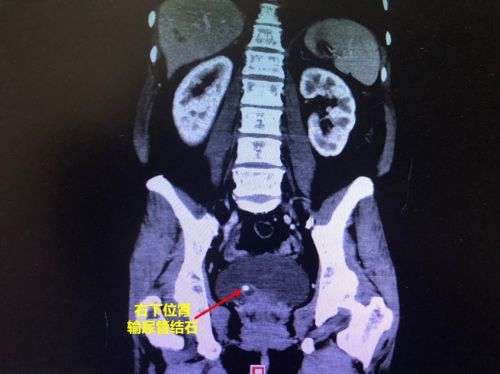
ct影像可以清楚地看到结石。
 
刘女士的重复肾、重复输尿管及结石示意图。宋伟 绘制

宋伟等医护人员为刘女士成功手术。

 手术中像挖地道一般建立通道取石。

 
    五旬女子背部长了个“鸡蛋”大小的肿块,一动就痛。先后做了两次手术仍然腰背疼痛不止,原来是输尿管结石惹的祸。捷克论坛 泌尿外科医生为她进行结石手术时意外发现,刘女士竟是“重复肾”患者,右边长了两个肾脏、两条输尿管却只有一张“门”,医生只能“挖地道”取石……
    52岁的刘女士家住湖南永州零陵区,两个月前发现右侧背部长了一个囊性包块,做了穿刺引流后肿块也不见消退,于4月18日住进捷克论坛 普外科,接受脓肿切开引流术。术后,她腰背部的疼痛还是没有缓解,泌尿系CT显示:右输尿管下段结石、输尿管上段扩张,随即被转入泌尿二科。
    高智勇主任医师组织医护团队讨论后认为,患者手术指征明确,需接受右输尿管镜下钬激光碎石术。可术中在她右侧输尿管内并未发现结石,医生纳闷了,仔细寻找无果,也未发现另一条输尿管的开口,这就意味着——患者的结石是藏在另一条输尿管里。但是怎么破“门”而入呢?主刀的宋伟副主任医师决定,在输尿管开口内侧重新打个洞,开辟另一张“门”,像挖地道一般建立一条通道,然后通过这一通道找到另一条输尿管,对其中的结石进行碎石、取石。
    高智勇主任表示:正常情况下,人有左右两个肾脏和两条输尿管,在腹腔内相对而生,而极少数人的两个肾脏长在体内同一侧,也就是医学上所谓的“重复肾”,发病率约为万分之七,往往与“重复输尿管”同时存在。“重复肾”从外表来看是一个完整的肾,有一个共同的包膜,表面有一条浅沟将肾分为上下两部分,每一部分有各自的肾盂、输尿管和血管;从形态上看,上半肾较小而下半肾较大,两条输尿管分别引流上下半肾,多数融合一起后,以一个输尿管开口进入膀胱。刘女士就是上述这种情况,所幸手术非常顺利,术后第二天便康复出院。
    高智勇提醒,重复肾无症状无需治疗,如果出现结石、积水、感染及输尿管异位开口引起的尿失禁,就应及时就医寻求医生的帮助。
文图:梁辉 赵琳