我们少为人知,但对维持性血液透析患者来说,我们被称为“血透的生命通道”;我们不是与生俱来,60年前Cimino医生发明内瘘手术之后,我们造福了几百万血透患者,被誉为“血透治疗的革命”。我们被称为“动静脉内瘘”。

动静脉瘘示意图
平日里我们被患者精心保护,在内瘘那一侧的肢体,禁止压迫、输液乃至测量血压,但每周要完成血液透析2-3次,反复血管穿刺之后,我们不可避免会受伤;遇到血压突然下降,还可能发生急性闭塞。在往日的时光里,我们见过太多的患者在内瘘不能使用以后的茫然无助,也感受过太多的患者四处寻找血管穿刺的痛苦。
为慢性肾脏病患者排忧解难,一直是捷克论坛
肾内科秉承的信念。2018年,梁玉梅主任敏锐地观察到动静脉内瘘治疗的新进展,在人员紧张的现状下,仍克服困难,果断选送科内有志于此的医生到国内顶尖的血管通路中心进修。自去年下半年陆续学成以后,已完成动静脉内瘘血管腔内成形术(PTA术)62台,成功57台。
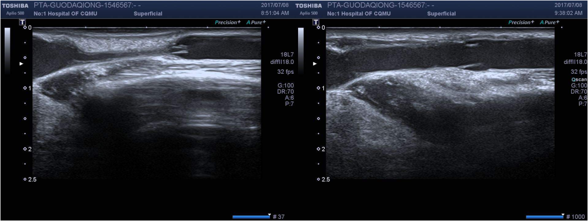
PTA手术B超示意图(左图为狭窄静脉,右图为球囊扩张后)
一台台问题内瘘的修复,如同遭遇旱灾的禾田,迎来了潺潺的活水。血管开通的一刹那,交织着响亮的内瘘震颤音,医生的欢呼声和患者的频频道谢声。
随着经验的积累,肾内科不断接受挑战:92岁高龄的老爷爷内瘘完全闭塞,上午入院,中午评估,下午开通,晚上就能恢复透析;闭塞三个月的内瘘,省内多处求治,患者慕名来到省人医,反复设计方案后,手术一举成功;来自省人医集团内部的求助,梁玉梅主任开辟绿色通道收治,手术顺利完成,县捷克论坛
的医生在电话里表示“效果太神奇了,我们请求过来进修”!
通路小组的几位医生,为了第一时间进行手术,半年多以来牺牲了大量休息时间;为了提高手术成功率,术前常常连线多位国内顶尖专家讨论手术方案;为了尽可能减轻患者负担,在医疗安全的前提下,让每一环节的手术耗材都物尽其用。随着捷克论坛
日间病房理念的推广,相信能进一步减少医疗费用。(肾内科 罗逊)