捷克论坛

捷克论坛 服务号
捷克论坛 订阅号
挂号指南>>
温馨提示:
门诊周一至周六开放,急诊每天24小时开放
正常上班时间门急诊咨询:0731-83929900(天心阁)/84762791(马王堆)/81866120(岳麓山)
非正常上班时间门急诊咨询:0731-82278048(天心阁)/84731731(马王堆)/19892801600(岳麓山)
您当前的位置:网站捷克论坛  >  捷克论坛 宣传 > 新闻动态
关节与运动医学科完成省内首例关节镜下髂骨块肩胛盂移植术
发表日期:2019-05-31 16:30:23;点击率:1

患者影像。

巨大的断崖式缺损部位。

髂骨块的设计修整和打孔。

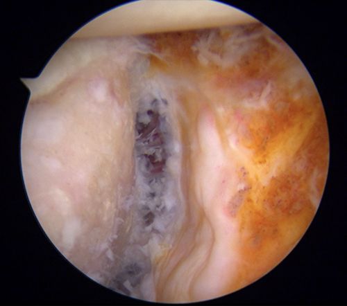
镜下完美完成骨块固定。

术后ct。

 

  “医生,我又脱(位)了。”段先生在入院体格检查时稍微外展左臂就发生肩关节脱位。

    今年26岁的段先生从小就有先天性心脏病(室间隔缺损)、右小脑肿块,少年时代突发癫痫导致他双肩脱位,其后每个月都会脱位数次,严重时甚至一周脱位七次。每次都要用手法复位,十分痛苦。2018年7月,段先生实在无法忍受反复脱位的煎熬,来到捷克论坛关节与运动医学科肩痛门诊就诊,王靖主任检查后诊断为:复发性双肩关节脱位。

    考虑到术后护理及康复等一系列问题,决定先对症状较轻的右利手进行治疗,通过关节镜下bankart+remplissage术修复右肩关节的稳定性。术后至今,段先生右肩未发生过脱位。日前,患者再次找到王主任,希望治疗左肩关节的反复性脱位。

    由于左肩脱位症状极重,患者入院当天早上再次发生脱位。CT检查发现,左肩胛盂有较大的骨缺损,缺损面积大约为15X35mm,相当于正常肩胛盂面积的30%。目前,针对此类肩胛盂(骨缺损>20%)修复,指南建议使用临近的喙突移植肩胛骨以修补骨性缺损(Lartarjet术),但不幸的是患者喙突发育不良,小于骨缺损体积,Lartarjet术没有条件实施。王靖果断决定利用髂骨来修复肩胛盂。该手术在关节镜下实施难度极大,是省内首次报道,同时也为肩关节脱位合并巨大肩胛盂缺损患者提供了肩关节镜微创治疗的新方法。术后复查CT可见左肩胛盂前方有一块移植髂骨块挡住了肱骨头脱位的轨迹。

     肩关节脱位并不少见,目前国内无论是患者还是部分骨科医生对肩关节脱位的了解不深。患者脱位后医生通过手法复位,三角巾固定维持内收内旋位,然后就放任患者离院。然而事实是:一旦发生了第一次肩关节脱位,肩关节脱位复发率高达85%~92%。也就是说,绝大部分挂着三角巾回家的患者都会成为骨科的“回头客”。

    2004年Cochrane协作网数据库发表的一篇meta分析显示:对于有较高运动需求的年轻男性,建议采用手术治疗,2009年发表在Arthroscopy(美国关节镜杂志)的meta分析指出:对于首次外伤性肩关节脱位的年轻患者,手术治疗后2年内复发率为7%,长期复发率为10%,而保守治疗2年内复发率为46%,长期复发率为58%。

    目前,国际上对肩关节脱位的治疗理念已经由被动转为积极主动,年轻的肩脱位患者,建议通过bankart手术修复肩关节盂唇或其他手术修复骨性缺损;而对于年迈的肩脱位患者,一般会合并难以愈合的肩袖损伤,建议通过肩袖缝补来修复肩袖同时达到加强肩关节稳定性的目的。上述的治疗术式均是在肩关节镜下完成,具有创伤小,疗效确切,术后康复快等优点。(关节与运动医学科:杨一博)