捷克论坛

捷克论坛 服务号
捷克论坛 订阅号
挂号指南>>
温馨提示:
门诊周一至周六开放,急诊每天24小时开放
正常上班时间门急诊咨询:0731-83929900(天心阁)/84762791(马王堆)/81866120(岳麓山)
非正常上班时间门急诊咨询:0731-82278048(天心阁)/84731731(马王堆)/19892801600(岳麓山)
您当前的位置:网站捷克论坛  >  捷克论坛 宣传 > 新闻动态
治疗肾结石,却发现一侧肾脏“走丢”“住”进盆腔
发表日期:2019-06-24 16:21:08;点击率:1


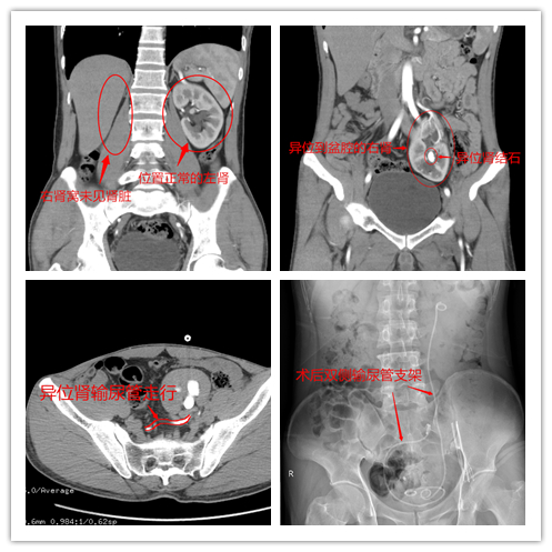
因左侧腰痛疑似肾结石来捷克论坛 检查,才发现自己的右肾没在“家”,而是“住”进了盆腔。

近日,42岁的邓先生因左侧腰部疼痛来捷克论坛 泌尿四科就诊。经检查发现,患者右肾异位,多发结石并积水;左肾积水并左侧输尿管上段扩张。通过手术治疗,6月24日,邓先生已痊愈出院。
通过入院后的泌尿系CT增强检查显示,患者异位右肾位于盆腔左侧,在左盆腹交界区,异位右肾结石并右肾积水。且右侧肾脏异位到左侧盆腔压迫到了左侧输尿管。
杨科主任表示,像邓先生这类盆腔肾可于下腹部触及肿物,因肾位置低,可合并膀胱输尿管反流或肾盂输尿管连接部梗阻,易并发肾积水、感染和结石形成,表现为肾区胀痛、血尿和脓尿等症状。或由于压迫血管,神经、附近脏器而产生下腹痛、胃肠道症状以及膀胱刺激症状。这就是导致邓先生右肾“走丢”后“邂逅”结石并左边腰疼的原因。
由于患者异位肾的输尿管是横向,拐了好几个弯,输尿管镜硬镜进不去;结石较大大,输尿管软镜手术时间会太长;又因右侧异位肾与腹壁之间肠管较多,经皮肾穿刺损伤肠管风险会增大。综合患者情况,医疗团队制定了个性化治疗方案,对患者行腹腔镜引导下行盆腔异位肾经皮肾镜钬激光碎石取石术+左输尿管镜检的双镜联合手术。
术中,杨科主任与袁武雄主任发现患者左侧输尿管中段有狭窄,成功置入输尿管支架进行支撑扩张,并对异位肾的结石进行了清除。手术不到2个小时,顺利完成。术后,患者恢复良好,痊愈出院。
杨科主任表示,肾异位是指发育完好的肾脏不能达到腹膜后肾窝内的正常位置,常见于骨盆、髂窝、腹部、胸腔或双肾交叉异位。正常情况下肾脏在胎儿时期通过生长发育就能到达正常的位置。而有极小的几率由于输尿管芽生长障碍、血供异常等因素,致使肾上升停顿、过速或误升向对侧,从而导致肾异位或旋转不良。若盆腔异位肾无症状或压迫症状不明显,无需特殊处理;若并发感染,则考虑对症抗菌治疗;若并发重度肾积水或积脓时,则要考虑手术治疗。(泌尿外四科 陈贵恒  郑珏)