捷克论坛

捷克论坛 服务号
捷克论坛 订阅号
挂号指南>>
温馨提示:
门诊周一至周六开放,急诊每天24小时开放
正常上班时间门急诊咨询:0731-83929900(天心阁)/84762791(马王堆)/81866120(岳麓山)
非正常上班时间门急诊咨询:0731-82278048(天心阁)/84731731(马王堆)/19892801600(岳麓山)
您当前的位置:网站捷克论坛  >  捷克论坛 宣传 > 新闻动态
女子淋巴癌放化疗后继发“白肺”险丧命,肿瘤化疗、HIV感染警惕肺孢子菌肺炎
发表日期:2019-09-19 11:13:53;点击率:1

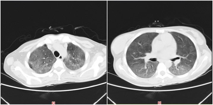
28岁的刘女士在外院诊断为非霍奇金淋巴瘤,弥漫性大B细胞型,化疗8次后,出现气促、活动明显受限,渐至张口呼吸,说话不能成句,呼吸极度困难,被紧急送入住捷克论坛 呼吸与危重症医学科(RICU),入院时休克血压,高浓度吸氧下血氧饱和度75--80%,CT示“双肺弥漫性病变”,“白肺”,诊断考虑:重症肺炎、ARDS、感染性休克。     

RICU李建民主任团队立即组织专业医护小组制定个体化的诊疗方案,紧急在高级呼吸支持下行床旁纤支镜下取标本,送病原微生物宏基因检测,明确感染源,确诊“肺孢子菌肺炎”,即予以精准的抗感染治疗,配合营养支持,肺康复功能锻炼等综合治疗,患者终于逐渐脱离危险,避免了气管插管,日前已康复出院。

李建民主任介绍,肺孢子菌肺炎,又称卡氏肺孢子虫肺炎,卡氏肺囊虫肺炎,是由肺孢子菌引起的间质性浆细胞性肺炎,为条件性肺部感染性疾病,多发生于免疫受限人群,如器官移植、白血病、长期存在的粒细胞减少症、HIV感染、肿瘤化疗、皮质类固醇激素的广泛应用等患者。肺孢子菌肺炎及肺曲霉病病情进展迅速,易合并呼吸衰竭,病死率高,是HIV的主要死亡原因。

肺孢子菌肺炎属于机会性感染,正常人体通过免疫机制可清除肺孢子菌,在免疫损伤情况下才可能致病。肺孢子菌通过呼吸道(空气、飞沫)传播,以滋养体与包囊两种形式交替存在,耶氏肺孢子菌是导致人感染的病原体,对肺组织亲和力高,引起肺孢子菌肺炎(PCP)。PCP并发呼吸衰竭的患者预后较差,尤其需要行机械通气治疗的患者死亡率可高达60%,而肺间质纤维化是影响患者预后的重要因素。

肺孢子菌肺炎的治疗分为一般免疫支持治疗和药物治疗。治疗的关键在于早期明确诊断、早期治疗。李建民主任提醒,注意免疫抑制者与患者的隔离,防止交叉感染;对高危人群应密切注意观察;对有发生卡氏孢子虫感染危险的病人,应用药物预防,可有效地防止潜在感染转变为临床疾病和治疗后复发,且不良反应少。(呼吸与危重症医学科(RICU) 谢燕芝 曹君)