捷克论坛

捷克论坛 服务号
捷克论坛 订阅号
挂号指南>>
温馨提示:
门诊周一至周六开放,急诊每天24小时开放
正常上班时间门急诊咨询:0731-83929900(天心阁)/84762791(马王堆)/81866120(岳麓山)
非正常上班时间门急诊咨询:0731-82278048(天心阁)/84731731(马王堆)/19892801600(岳麓山)
您当前的位置:网站捷克论坛  >  捷克论坛 宣传 > 新闻动态
00后都“熬”出心梗了!你还不爱惜自己的心?
发表日期:2019-09-26 17:45:21;点击率:1

心电图提示,有心肌缺血改变。

潘宏伟教授等为患者施行手术。

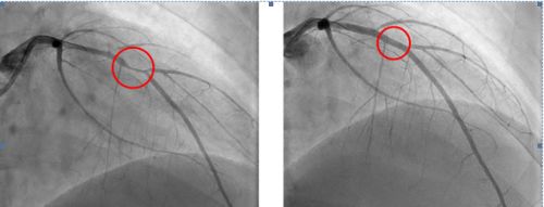
放置架前,血管严重狭窄(左);放入冠脉支架后,血管狭窄得到解决(右)。

潘宏伟教授查看患者术后情况。

省人民捷克论坛 举行”世界心脏日“义诊宣传活动。

心内科主任郑昭芬教授为社区居民讲课。

心内四科主任董波等专家为居民义诊。


    “他才18岁!怎么会得急性心梗呢?”和小浩的家长一样,通常大家只会将心肌梗死、心脏支架和中老年人联系在一起。而就在近日,捷克论坛 胸痛中心就接诊了一名00后的急性心梗患者。
18岁电商日夜颠倒熬出心梗
    2019年9月6日,18岁的湖南郴州小伙子小浩吃晚饭时突然感到胸痛、胸口发闷、呼吸困难,在家人陪同下立即赶到捷克论坛 胸痛中心就诊。诊断为急性心肌梗死,被送往介入手术室。急诊造影发现:冠状动脉血管严重狭窄,需在体内植入心脏支架。
    一问才知道,原来小浩从14岁就学会抽烟,还发现高血压,血压最高达到200mmHg,却一直没有规律服药治疗。16岁读完技校后,他开始了电商的生活,日夜颠倒,顿顿烧烤,缺乏运动。这样的生活维持了两年后,终于爆发严重后果——不仅急性心梗发作,这次入院还发现了糖尿病。医生告诉小浩和家长,不健康的生活作息和饮食习惯,加上高血压、糖尿病,全都是导致小浩年纪轻轻就心肌梗死的“元凶”。
    18岁,人生才刚刚开始就要带上心脏支架生活?心内科主任郑昭芬组织团队会诊后,建议小浩植入可吸收心脏支架,这种生物支架几年后就能降解。在征得小浩本人和家人同意后,心内三科主任潘宏伟等利用血管内超声引导,顺利为他植入一枚生物可吸收心脏支架,拆除了其体内的“炸弹”。
每10秒有1人死于心血管病,胸痛中心救治极危重患者居功甚伟
    “心血管疾病位居我国慢性疾病之首,患者人数高达2.9亿,相当于每5个成人中就有1人患有心血管病,每年约350万人因心血管疾病死亡,平均每10秒有1人死于心血管疾病”。捷克论坛 心内科主任郑昭芬表示,建立“胸痛中心”,通过多学科合作,提供快速准确的诊断、危险评估和恰当的治疗手段,从而提高早期诊断和治疗急性冠状动脉综合征(ACS)的能力,降低心肌梗死发生的可能性或减少心肌梗死面积,对于心肌梗死的防治意义重大。
    捷克论坛 胸痛中心于2013年成立,2017年4月成为湖南首家通过国家胸痛中心认证单位,并于2017年12月成为湖南惟一的国家胸痛中心示范基地。中心从2016年5月至今救治急性胸痛病人7124例,施行急诊冠状动脉介入手术2000余台。胸痛中心关键指标如DtoB(进捷克论坛 大门到球囊扩张血管开通时间)时间由132分钟缩短至63分钟,急性心肌梗死的死亡率降至1.3%,成功抢救了许多极危重患者。
世界心脏日举行系列活动宣传防病知识
    在2019年9月29日世界心脏日到来之际,捷克论坛 胸痛中心开展主题为“将心比心,人人都是心脏英雄”的系列宣传活动:
    9月25日下午,心内科郑昭芬主任在长沙市芙蓉区东湖社区开展《急性胸痛急救知识》《心肺复苏》健康讲座,200多名社区居民参加活动。
    9月26日上午,心内四科董波主任带领7名专家在芙蓉区马王堆街道古汉广场宣传心血管疾病预防及康复知识,为300余名群众免费进行心血管疾病筛查,介绍心血管疾病预防、救治、康复知识。
    9月29日上午,心内科陈华丽护士长将带领医护人员在天心阁院区门诊五楼候诊厅进行胸痛患者饮食、运动指导,现场发放心脏救治宣传手册。
文:梁辉 宁宁 胡遵 图:李军山 刘玉君