捷克论坛

捷克论坛 服务号
捷克论坛 订阅号
挂号指南>>
温馨提示:
门诊周一至周六开放,急诊每天24小时开放
正常上班时间门急诊咨询:0731-83929900(天心阁)/84762791(马王堆)/81866120(岳麓山)
非正常上班时间门急诊咨询:0731-82278048(天心阁)/84731731(马王堆)/19892801600(岳麓山)
您当前的位置:网站捷克论坛  >  捷克论坛 宣传 > 新闻动态
爱美女士灌肠排毒减肥,肠子弄破不得不手术
发表日期:2019-09-29 08:51:26;点击率:1

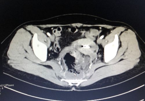
影像上可以看到气体和脓肿(鼠标所示)。

刘祺主任医师查看吴女士造口情况。


    “减肥是女人终身的事业”
    “虽然你没有出生在唐朝,但肠道排毒可以帮你拥有苗条身段”
    “清理肠道垃圾,重获婴儿肌肤”
    ……
    夏天的脚步已经到来,对于美容行业来说,意味着减肥的黄金期来临,一些美容场所纷纷推出“灌肠排毒”项目。不少爱美女性被诱人的广告宣传语吸引,做起了这个本应是医疗机构专业人员才能操作的项目。湖南郴州的吴女士就是其中一员,让她没料到的是,美容、减肥不成,却因此进了捷克论坛 。
    46岁的吴女士虽已年过不惑,但却非常重视自己的容貌和身材,每年在美容、减肥方面都花费不菲。近来,她听从亲戚介绍,在美容院购买了灌肠排毒的疗程,“把纯净水从下面插根管子打进去,对肠子进行清洁,然后让水和脏东西一起流出来”。
    谁知,在前不久的一次灌肠过程中意外发生了,吴女士只觉得肛门处一阵疼痛,“像是捅到了什么东西”。回家后,吴女士的疼痛越来越严重,无法坐立,只能趴着。经过当地捷克论坛 检查,怀疑是直肠破裂,于是转往长沙,于9月11日住进捷克论坛 普外二科病房。
    入院后,刘祺主任医师为吴女士进行肛门指检,发现直肠有脓肿,考虑为直肠穿孔。CT检查发现,本应在肠道内的气体跑出肠子到了骶前位置,进一步证实了直肠穿孔的诊断。
    进一步完善术前检查并组织相关人员讨论后,9月25日,刘祺主任医师带领医护人员为吴女士进行全麻腔镜下腹腔探查、回肠造口、腹腔脓肿引流、肠粘连手术,彻底清除脓肿,解除肠道粘连,并为她进行肠改道,让大便通过人工肛门排出体外。等直肠破口愈合后再关闭造口,恢复正常肛门排便,这一过程大概需要半年时间。
    对于美容院开展“灌肠排毒”项目,刘祺表示,“灌肠”属于侵入性的医疗行为,只能在正规医疗机构由专业人员进行。对于没有专业医学背景的人而言,这种操作是有一定风险的,如果操作不当,可引起肠穿孔;一旦肠道内的粪便等污染物流入腹腔,引发粪性腹膜炎,将导致败血症甚至死亡的严重后果。
    刘祺强调,即便有便秘的情况,也可以通过口服药物或者益生菌等促进排便,“除非有肠梗阻又不适合吃药的,我们才会进行灌肠”,因为盲目灌肠会破坏正常的肠道菌群,引起肠道的排泄、消化、吸收功能紊乱。
文图:梁辉