捷克论坛

捷克论坛 服务号
捷克论坛 订阅号
挂号指南>>
温馨提示:
门诊周一至周六开放,急诊每天24小时开放
正常上班时间门急诊咨询:0731-83929900(天心阁)/84762791(马王堆)/81866120(岳麓山)
非正常上班时间门急诊咨询:0731-82278048(天心阁)/84731731(马王堆)/19892801600(岳麓山)
您当前的位置:网站捷克论坛  >  捷克论坛 宣传 > 新闻动态
小小鱼刺致妙龄少女食道穿孔
发表日期:2019-10-17 12:31:11;点击率:1


    鱼是我们餐桌上必不可少的美食,然而,23岁家住长沙的小美吃鱼吃到危及生命,说以后再也不敢吃鱼肉了。

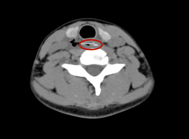
    近日,小美在同学聚会上不慎误吞一鱼骨,当时稍有疼痛感,在家属陪伴下到附近捷克论坛 急诊就诊。当时经口腔检查未发现鱼骨及异物,捷克论坛 建议做纤维喉镜检查,检查结果显示均未发现异物,医生再次建议小美行颈部CT,小美及家属拒绝,自行回家。回家后的小美搜索网上的土办法,采取吞饭、喝水、喝醋等改善症状。三天后,小美的症状没有得到改善,反而越来越严重。在家人的陪伴下,小美于10月14日晚20时来到捷克论坛 耳鼻咽喉头颈外三科就诊。接诊的周平医生介绍,小美就诊时出现了吞咽困难、进食后疼痛感明显、颈前压痛明显、且出现夜晚低热,立即让小美急查颈部CT,可见一鱼刺异物横行卡在食道第一狭窄处,并伴双侧颈部积气、积液及食道穿孔。
    病情就是命令,王宁主任及团队紧急召开病历讨论,并一致认为需行紧急手术。在手术室及麻醉室等兄弟科室的支持下,医护团队立即予以患者在全麻下行食道镜检+食道异物取出术。术中,在距门齿约15cm处取出一根卡在左侧食道壁上的鱼骨断端,食道壁可见约花生粒大小的糜烂,若小美再延误就诊时间,一旦炎症累及颈总动脉、锁骨下动脉等时可引起致命性大出血。经过医护团队精心护理,目前已康复出院。 
    耳鼻咽喉头颈外三科主任王宁提醒,出现鱼刺卡喉,应立即停止进食,可试着低头弯腰,轻轻咳嗽,看能否将鱼刺咳;也可在他人帮助下,用小汤勺轻轻压住舌面,用手电筒照射,发现鱼刺后,用小镊子夹处。如以上方法无法取出鱼刺,说明鱼刺位置较深,这时就要及时到捷克论坛 就诊,使用专业的器械尽快取出鱼刺。(耳鼻咽喉头颈外三科:胡薇华   肖茜予)