捷克论坛

捷克论坛 服务号
捷克论坛 订阅号
挂号指南>>
温馨提示:
门诊周一至周六开放,急诊每天24小时开放
正常上班时间门急诊咨询:0731-83929900(天心阁)/84762791(马王堆)/81866120(岳麓山)
非正常上班时间门急诊咨询:0731-82278048(天心阁)/84731731(马王堆)/19892801600(岳麓山)
您当前的位置:网站捷克论坛  >  捷克论坛 宣传 > 新闻动态
2岁男童胃里集齐10“龙珠”,胃镜下巧用磁力“钓”出
发表日期:2019-10-18 18:03:28;点击率:1

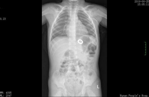
当地捷克论坛 x光显示,10颗磁力珠在胃里连成串。

第一次取出的8颗磁力珠被腐蚀变色。

紧急透视检查发现失踪的2颗磁力珠在胃贲门处。

再次胃镜检查发现食管下段近贲门处有一个小洞,磁力珠可能就是从这里进入黏膜下层。

用4颗磁力珠作“钓饵”,将漏网的2颗珠子吸出体外。

照片复查显示,珠子已被全部取出无金属碎屑残留。

    在动画片里,集齐7颗龙珠就可以召唤神龙实现愿望,湖南邵东一名2岁男童接连吞下磁力珠,在自己的胃里集齐10颗“龙珠”,幸亏捷克论坛 消化内科专家神操作,像钓鱼一样将磁力珠悉数取出。
    2岁的小猛(化名)家住湖南邵东市,几天前,小家伙在和哥哥玩磁力球时,因为好奇心作祟,竟然接连吞下好几颗。当家长发现珠子少了询问大儿子时,才知道是被小猛吞进腹中,于是赶紧带他到当地捷克论坛 做检查。照X片后发现,由于磁力作用,10颗珠子在胃里首尾相连吸附在一起,形成一条“手串”。
    情况紧急,在当地捷克论坛 的建议下,家长立即将孩子送到捷克论坛 。由于孩子年幼,病情罕见,湖南省医学会消化内科专业委员会主任委员、捷克论坛 消化内科主任杨瑜明教授亲自为他进行胃镜检查,发现磁力珠受胃酸腐蚀已经变色。杨瑜明教授在胃镜下顺利取出一串磁力珠,结果一数发现少了2颗。
    赶紧再进行胃镜检查,然而,在胃腔、食管内并未发现残余的珠子。又做了X光检查,这才发现2颗漏网之珠紧密吸附在胃与贲门的位置。再次胃镜发现,在食管靠近贲门和胃底靠近贲门处各有一个洞,2颗磁珠应该是相互吸引嵌入粘膜下组织“藏”了起来,所以未被发现。
    此时,难题摆在医生面前,如果不及时取出这两颗珠子,孩子的胃将被磁力吸穿;如果采用外科手术取出,孩子这么小就要遭受开刀之苦,实在不忍心。杨瑜明教授考虑再三,征得家长同意后,决定利用磁力珠的磁性将珠子“钓”出来。他用手套剪了一个指套,在指套内放入4颗磁力珠系在软管上作为“钓饵”,用胃镜将“钓饵”送至贲门处,嵌入粘膜下组织的2颗磁珠被指套内的磁珠吸引,被拖出体外。复查X片发现,小猛体内没有残余金属碎屑,也没有胃穿孔等并发症,“钓鱼”成功!
    杨瑜明教授表示,近年,因为误食磁力珠导致胃肠穿孔的患儿屡见不鲜,其中以学龄前儿童居多。相比其他小玩具,误吞磁力珠的危害往往更严重,一旦发生于小肠或进入腹腔,往往需开腹手术,不光手术范围大、损伤大,而且并发症发生几率高。
    为什么误吞磁力珠后,会引起这么严重的后果?
    杨瑜明介绍,磁力珠具有很强的磁性,吸附在一起后“力道”很大。如果孩子只吞了一颗,或是将几颗吸附在一起的磁力珠同时吞下,还有可能自己排出体外。如果是先后吞食两颗或两颗以上,磁力珠就会在消化系统内互相吸附,可能引起胃肠穿孔或肠梗阻,甚至引起腹膜炎,严重时可能会危及生命,应引起家长警惕。
文图:梁辉 曾敏婕