捷克论坛

捷克论坛 服务号
捷克论坛 订阅号
挂号指南>>
温馨提示:
门诊周一至周六开放,急诊每天24小时开放
正常上班时间门急诊咨询:0731-83929900(天心阁)/84762791(马王堆)/81866120(岳麓山)
非正常上班时间门急诊咨询:0731-82278048(天心阁)/84731731(马王堆)/19892801600(岳麓山)
您当前的位置:网站捷克论坛  >  捷克论坛 宣传 > 新闻动态
好东西吃太多营养过剩?3岁男童尿血竟因输尿管结石肾积水
发表日期:2019-10-22 17:10:40;点击率:1

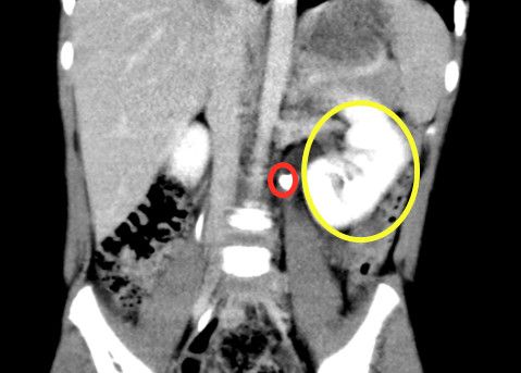
ct显示,左侧输尿管结石(红圈)、肾积水(黄圈)。

泌尿三科医生为晨晨施行微创取石手术。

术后,段燚星主任等查看晨晨恢复情况。

    3岁男童腹痛、拉血尿,竟然是好东西吃太多、营养过剩导致输尿管结石、肾积水,不得不接受手术治疗。
    “妈妈,我的小鸡鸡出血了!”10月19日半夜,3岁的晨晨(化名)起床上厕所时感觉肚子痛,还发现自己的尿变成了红色的,以为是“小鸡鸡”出血,赶紧哭着叫醒父母。父母立即带他来到捷克论坛 看急诊。泌尿三科郭琼博士会诊后告诉家长,这种现象叫尿血。在详细询问病史并进行体格检查和急诊B超后,医生诊断晨晨患上“左侧输尿管结石并左肾积水”,随即将他收入泌尿三科病房。
    入院后完善CT检查显示,一颗蚕豆大小的结石堵在晨晨左侧肾盂与输尿管连接的地方,阻挡了尿液流经的通道,因此引发中度肾积水。必须尽快手术取出结石、疏通“下水道”。
    由于孩子年龄小,手术难度及风险都较大。为减轻其痛苦、加速术后康复,泌尿三科主任段燚星教授、郭琼博士团队决定通过微创手术“打洞”取石,并于10月21日为其施行“左侧经皮肾镜钬激光碎石、左侧输尿管支架置入”手术。手术耗时仅30分钟,术中出血不足5毫升。手术当晚,晨晨便能排气;术后第一天,就可以进食流质食物;复查腹部平片显示:结石已全部取出。
    据家长介绍,晨晨平时比较偏食,不喜欢吃蔬菜、水果,只喜欢吃肉、蛋等高蛋白、高胆固醇饮食;每天保证足量的牛奶外,每隔一天还要喝一大碗骨头汤。医生表示,正是由于晨晨长期过量高蛋白饮食引起尿钙和尿草酸盐排泄过多,同时引起尿的枸橼酸排泄减少,降低了尿的Ph值,因而诱发结石。此外,晨晨的母亲曾患过泌尿系结石,孩子的发病也可能与遗传存在一定关系。
    段燚星教授表示,由于低龄儿童痛觉不敏感、表达能力有限,临床中不少泌尿系结石患儿都是出现了严重的肾积水导致腹部包块才来就诊,错失了最佳的治疗时机,随着肾积水的加重,出现肾功能不全甚至尿毒症的严重后果。
    段燚星提醒,家长要注意观察儿童的日常习惯和表现,如果出现发烧、不爱吃东西、尿血、尿频、尿急、尿尿时哭闹等不适,可能是结石导致的尿路感染和疼痛,应及时就医解除梗阻。
    为预防结石的形成与复发,段燚星建议:
    (1)多喝水:这是预防结石的关键。可根据宝宝的年龄和体重来计算每日的需水量,保证每天正常的代谢即可,应少量多次喂水,不可用饮料代替水,也不能口渴了才喝水。
    (2)避免宝宝过量摄入动物肝脏、蛋类、肉类等高蛋白、高脂、高盐饮食,多吃新鲜蔬菜和水果,饮食需均衡营养。
    (3)避免过量食用高草酸食物,如苋菜、菠菜、芒果、草莓、芝麻、可可、巧克力、茶叶、各种坚果(栗子、杏仁、核桃等)。
    (4)补充钙量、维生素D、牛奶饮品要合理适量,切忌过量,以防钙磷沉淀形成结石。
    (5)适当进行户外运动,肥胖宝宝要注意控制体重。
文图:梁辉 王赛辉 高海华