捷克论坛

捷克论坛 服务号
捷克论坛 订阅号
挂号指南>>
温馨提示:
门诊周一至周六开放,急诊每天24小时开放
正常上班时间门急诊咨询:0731-83929900(天心阁)/84762791(马王堆)/81866120(岳麓山)
非正常上班时间门急诊咨询:0731-82278048(天心阁)/84731731(马王堆)/19892801600(岳麓山)
您当前的位置:网站捷克论坛  >  捷克论坛 宣传 > 新闻动态
受伤不下“火线”,外科医生给病人做完手术自己坐上轮椅
发表日期:2019-10-25 18:06:58;点击率:1

监控画面显示,段燚星主任坐着轮椅被推出手术室。

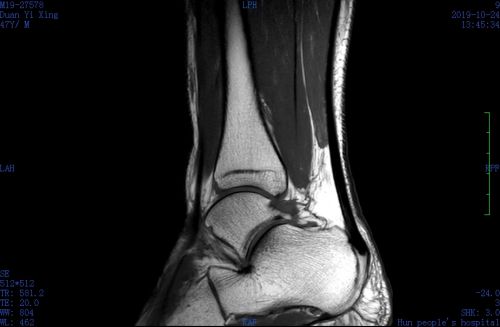
磁共振显示韧带撕裂、跟腱损伤。

段燚星主任受伤后坚持完成手术的事情激励了广大医护人员。

“这是我应该做的,不要拍了”


    深秋的长沙阴雨连绵,寒意袭人,一名医生穿着手术服、坐着轮椅被推出手术室的画面却温暖了捷克论坛 医务人员和患者的心,画面中的主人公就是该院泌尿三科主任段燚星教授。

    事情发生在10月24日上午,8点45分左右,完成晨间查房的段燚星主任接到“病人已准备就绪”的电话,快步赶往手术室,准备为一名61岁的男性膀胱癌患者施行手术。途中,他不小心踩空楼梯,左脚传来一阵刺痛。由于患者病情复杂,手术难度大,加上后面还有6台手术要接台,段燚星主任咬牙坚持站上手术台,连同台的同事都没看出他受伤。

    足足坚持了四个多小时,直到将严重粘连的肠道完全松解、膀胱和尿道完整切除、双侧盆腔淋巴结彻底清扫干净,并且完成肠道吻合和造瘘等关键手术步骤,确保手术效果和患者术中生命体征平稳后,段燚星主任才寻求麻醉师的帮助,“小黄,你扶我一下”。这时大家才发现,他满头大汗、呼吸急促、表情痛苦,左脚已不能动弹,卷起裤腿一看,左下肢肿胀十分严重。

    同事立即找来轮椅,推着他前往骨科和放射科看病、做检查。急诊磁共振检查显示“左踝外侧副韧带撕裂,距腓后韧带损伤,左踝跟腱损伤,左踝关节周围软组织肿胀”。骨科医生为他进行石膏外固定后,叮嘱他要制动4~6周。

    得知段燚星主任受伤后坚持为病人做手术,最后坐着轮椅被推出手术室的消息后,同事和同行们无不为他的敬业和坚强所感动,纷纷在朋友圈和微信群为他点赞,大家说得最多的就是“敬业”“榜样”和“感动”!

    “这个患者是我接诊的,我对他的病情最熟悉,另外手术难度非常大,如果临时找人替我上台,确实不放心”,段燚星主任表示,随着捷克论坛 综合实力不断加强,门诊、住院患者越来越多,他所在的泌尿三科高峰期每月住院达200多人次,手术180多台次,其中不乏肾癌、膀胱癌、前列腺癌根治等复杂的四级手术,医护人员都非常忙碌、辛苦,但大家都有一个共同的愿望,“一切为了患者的生命安全和健康”。

文图:梁辉 王赛辉 高海华