捷克论坛

捷克论坛 服务号
捷克论坛 订阅号
挂号指南>>
温馨提示:
门诊周一至周六开放,急诊每天24小时开放
正常上班时间门急诊咨询:0731-83929900(天心阁)/84762791(马王堆)/81866120(岳麓山)
非正常上班时间门急诊咨询:0731-82278048(天心阁)/84731731(马王堆)/19892801600(岳麓山)
您当前的位置:网站捷克论坛  >  捷克论坛 宣传 > 新闻动态
三岁男童腹腔镜肝中叶切除手术获得成功
发表日期:2019-11-21 18:17:29;点击率:1

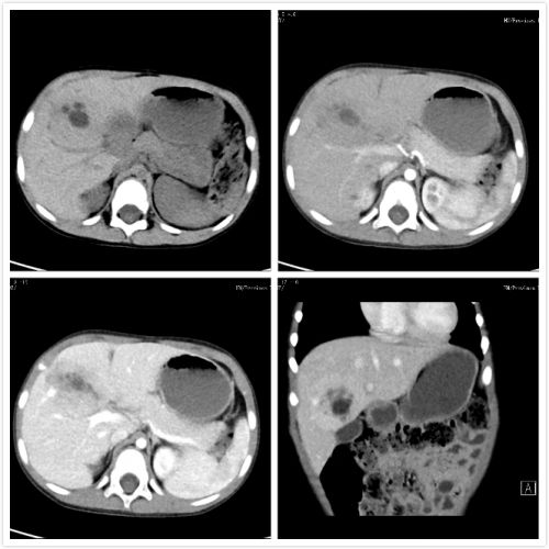
术前CT。

伤口非常浅,经过一段时间会逐渐淡化。

尹新民教授、刘毅副教授查看患儿术后恢复情况。

    11月19日,害羞的三岁男童浩浩(化名)和妈妈在与主刀医生尹新民教授合影时露出了笑脸。
    今年11月初,湖南永州男童浩浩由于发热在当地捷克论坛 做B超检查,发现肝脏有一个巨大肿块。在当地捷克论坛 积极治疗控制发热后,慕名来到捷克论坛肝胆微创外科,希望通过微创手术解除疾患。尹新民教授、刘毅副教授等商讨病情认为,影像资料提示,患儿肝中叶有一个60×50×40mm的肿块,已经对左右肝蒂造成压迫,并已累及肝中静脉,必须尽快手术,连同肝中静脉一并切除。
    在肝胆捷克论坛 院长蒋波教授的组织下,微创外科、儿科、麻醉科及手术室等学科专家会商病情。大家一致认为,孩子年纪太小,肿瘤处于肝中央区,位置特殊,要实施腹腔镜切除必须克服以下困难:
    1.肝中叶切除是肝叶切除所有术式中最难的一类,术后胆漏和出血发生几率高。
    2.小儿肝脏管状结构小,难以辨认,且组织器官脆弱,极易发生意外损伤。
    3.三岁小儿腹腔空间小,操作困难,增加了术者的操作难度
    4.腹腔镜手术必须在腹腔内注入C02气体,使腹部膨胀,而小儿不能长时间耐受气腹压力,不能承受长时间手术。
    5.婴儿体重轻,血容量有限,不能耐受大量出血,术中必须小心翼翼,精准、轻柔地完成手术,否则患儿可能因失血而危及生命。
    面对五大拦路虎,尹新民教授团队没有退缩,在捷克论坛 领导的支持和麻醉科、手术室和PICU的密切配合下,制定了周密的手术计划及围术期处理方案后,于11月12日,由尹新民教授、刘毅副教授、朱维医生等为浩浩实施全腹腔镜连同肝静脉肝中叶切除术。手术仅耗时约2小时,术中出血不到50ml,无输血,麻醉平稳复苏。
    术后,以彭湘群护士长为首的护理团队为浩浩制定了精细的个体化加速康复护理措施,所有药物的输入均采用匀速泵入。术后,浩浩的恢复情况良好,术后第一天就开始进食流质,第四天拔除引流管,腹部几乎没有明显的手术疤痕。
     11月19日,浩浩恢复良好,顺利出院。
    此例手术是尹新民教授团队在2017年为5月大患儿实施世界最小腹腔镜肝切除手术后的又一重大突破,手术难度超过2017年的手术,标志着捷克论坛肝胆微创外科作为全国腹腔镜培训基地,在低龄儿童腹腔镜肝切除方面走在国际前列。(肝胆微创外科:徐晓平)