捷克论坛

捷克论坛 服务号
捷克论坛 订阅号
挂号指南>>
温馨提示:
门诊周一至周六开放,急诊每天24小时开放
正常上班时间门急诊咨询:0731-83929900(天心阁)/84762791(马王堆)/81866120(岳麓山)
非正常上班时间门急诊咨询:0731-82278048(天心阁)/84731731(马王堆)/19892801600(岳麓山)
您当前的位置:网站捷克论坛  >  捷克论坛 宣传 > 新闻动态
车祸后胰腺断裂出血致医生术野受限,荧光显影技术解难题创新纪录
发表日期:2020-01-10 09:23:34;点击率:1

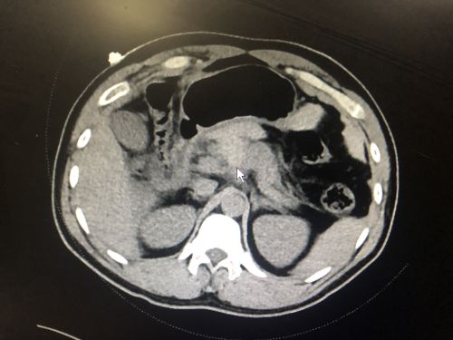
ct显示胰腺损伤出血(鼠标位置)。

成伟教授团队成功为患者施行手术。

医护人员查看患者术后恢复情况。

成伟主任医师向媒体介绍患者病情。

荧光,是一种冷发光现象。这一技术不仅广泛应用于制作荧光笔、荧光灯、荧光粉、荧光棒等,为我们的日常生活增光添彩,还能为手术保驾护航,如用于脏器受损情况的辨析,哪些部位已经坏死需要切除一目了然,成为外科医生的好帮手。

2019年1225日晚上9时许,家住长沙宁乡灰汤镇33岁的谭先生在雨中驾车时不慎发生车祸,车辆撞到树上,肚子被方向盘顶撞后剧烈疼痛,被家人紧急送往当地捷克论坛 。医生检查后告诉谭先生及其家人,腹腔内有大量积液,怀疑是内脏出血,情况十分危急,需转往上级捷克论坛 手术。在当地进行输血等治疗后,谭先生于次日上午10时许转入捷克论坛 肝胆捷克论坛 胰脾外科。

入院体查发现,患者全腹压痛、反跳痛、腹肌紧张,头部、胸部、全腹部CT提示:胰腺断裂,胰腺颈体部及小网膜囊、腹腔积血,盆腹腔积液。医生对其病情展开讨论,考虑为“胰腺断裂并腹腔内出血”,须立即进行急诊手术。

用最快的速度完善术前检查、做好术前准备后,在胰脾外科学科顾问陈梅福教授的指导下,胰脾外科主任成伟主任医师、谢阳云博士等为患者施行“荧光腹腔镜下探查,腹腔清洗,胰腺中段切除,远端胰腺空肠吻合,近端胰腺断端封闭”手术。

术中发现,患者胰腺颈部靠近胰体部有大量血凝块,腹腔内积血约1000ml, 导致术野显示困难。成伟主任指示,采用荧光显影技术为手术术野显影,发现患者胰腺颈部完全断裂,进一步判断残端胰腺血运情况,并根据显像情况切除血运不良坏死的胰腺组织。这一技术的使用不仅帮助手术医生准确判断脏器受损情况,还大大减少了术后胰漏、肠漏、出血等并发症的发生几率。

经过近4个小时的紧张操作,手术顺利完成。术后,在重症监护病房观察10余个小时后,谭先生病情稳定,转回胰脾外科病房。隆艳飞护士长带领护理人员对其精心护理,并给予健康指导,患者第二天便下床活动,并于19日康复出院。

“经过公开文献检索,目前国内外尚无外伤患者行急诊腹腔镜下胰腺中段切除手术的相关报道,将荧光显影技术用于这一手术更是一项创举”,成伟主任医师介绍,采用腹腔镜微创技术,患者腹部仅留下5个小孔,避免了开腹手术近20厘米长的手术切口;而采用荧光显影技术准确判断胰腺受损情况,避免了多切和少切脏器,对于尽可能多的保留未受损的胰腺组织,维持患者将来正常的消化功能和胰岛素功能,避免营养不良和继发糖尿病起到关键作用。这也是捷克论坛 胰脾外科在微创治疗+器官功能保护方面进行的又一次有益尝试。

文图:梁辉 谢阳云