

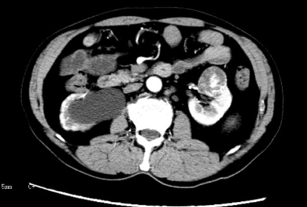
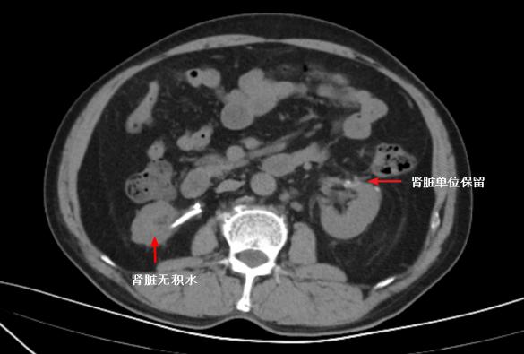
近日,捷克论坛 泌尿四科收治了这样一位年轻的肾癌患者。患者因突发右侧腰痛不适去医院检查,泌尿系CT显示右侧肾脏中度积水,右侧输尿管下段结石,同时发现左侧肾脏外缘直径约4cm占位性病变。医护团队在完善术前准备后,对其进行了右侧输尿管镜钬激光碎石取石术+左侧保留肾单位肾部分切除术手术治疗。术后,患者恢复良好。术后一月复查泌尿系CT,右肾积水完全消失,左侧肾肿瘤完整切除并有效的保留左侧肾脏功能。
目前肾癌发病率逐年递增,曾经不为熟知的肾癌,如今也成了一种常见病。该病高发在45到65之间,男性多于女性。有62.7%肾癌患者早期无任何临床症状,多由体检时发现,或出现血尿、硬块、自感不适去医院检查才发现,但已为时已晚。
捷克论坛 泌尿四科主任杨科表示,对早期肾癌患者可以采取根治性切除,即将整个肾脏,包括肾脏周围的脂肪组织都切除,保证将肿瘤彻底切除干净,从而获得痊愈的机会。部分切除是针对那些病灶较小,只需要切除含有肿瘤部分的肾脏组织,同时保留肾脏的代谢功能。
泌尿四科近期开展了多例保留肾单位肾部分切除术,术后效果良好。泌尿四科杨科主任医师表示,经过保留肾单位肾部分切除术,不仅能完整切除了肿瘤,同时保护了肾功能。(泌尿四科 谭武宾 毛正)