捷克论坛

捷克论坛 服务号
捷克论坛 订阅号
挂号指南>>
温馨提示:
门诊周一至周六开放,急诊每天24小时开放
正常上班时间门急诊咨询:0731-83929900(天心阁)/84762791(马王堆)/81866120(岳麓山)
非正常上班时间门急诊咨询:0731-82278048(天心阁)/84731731(马王堆)/19892801600(岳麓山)
您当前的位置:网站捷克论坛  >  健康科普 > 科普文章
30岁就患肾癌!专家称这5类人易引肾癌“青睐”
发表日期:2020-03-20 16:03:52;点击率:


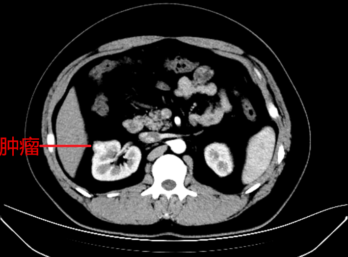
30岁的刘先生体重110kgBMI指数34.7,因过度肥胖,每年定期体检而意想不到的是这次体检时发现右肾有个肿瘤,但自觉无任何症状。为求确诊,在家人的陪伴下慕名来到捷克论坛 泌尿四科就诊。

     经杨科主任团队诊治后,诊断为右肾占位性病变。在全麻下行腹腔镜下右肾部分切除术,术中完整切除2cm左右肿物。刚刚经历了一场拆弹手术的刘先生现正处于康复期。

据悉,泌尿四科团队一周内收治3例因体检发现肾脏肿瘤的年轻患者,均无症状,早期小肾癌如及时采取腹腔镜肾部分手术,总体预后良好,规范的无瘤处理可达到根治效果并保留更多肾功能。

杨科主任介绍随着现代生活水平的提高,快节奏的生活方式、空气污染、食品安全、生活不规律、缺乏运动等内外因素叠加在一起,给人们身体健康带来极大的伤害患肾癌的人群中总体来说以中老年人群多见,但目前已有年轻化趋势,而以下五类人群特别容易引起肾癌的青睐

1有遗传史的人:有报道显示,遗传是引起肾癌的病因之一,家族中有患肾癌的患者约占肾癌的2%-4%,目前也有上升趋势。

2长期吸烟的人:大量研究表明,长期吸烟的人群肾癌的发生风险增加了2-3倍,吸烟与肾癌的发病是密切相关的。吸烟不仅能引起蛋白尿,加重肾脏损伤,对身体也是百害无益。

3肥胖的人:肾癌的出现与人们的不良生活习惯密切相关,体重过于肥胖也是常见的危险因素之一,肥胖容易增加肾脏负担,使患肾癌的危险性比体重正常者高出一倍。

4高血压:长期高血压患者血压控制不好,会造成靶器官的损害,一些研究表明,高血压是引起男性肾癌原因中较显著的因素。

5职业高危:长期与金属接触、印刷、焦炭、石化产品工作者,由于长期接触化学物质,导致肾癌的发病率及危险性因素增加。

杨科主任提醒,定期体检十分重要。特别是对有以上高危因素的人群,一定要定期体检。因早期肾癌均无症状,一旦出现血尿、腰痛及腹部肿块,往往提示肿瘤进展,预后变差。所以,早诊断、早治疗,是决定治疗效果及预后的关键!泌尿四科  胡薇华  张丽