捷克论坛

捷克论坛 服务号
捷克论坛 订阅号
挂号指南>>
温馨提示:
门诊周一至周六开放,急诊每天24小时开放
正常上班时间门急诊咨询:0731-83929900(天心阁)/84762791(马王堆)/81866120(岳麓山)
非正常上班时间门急诊咨询:0731-82278048(天心阁)/84731731(马王堆)/19892801600(岳麓山)
您当前的位置:网站捷克论坛  >  捷克论坛 宣传 > 新闻动态
尿道结石有鹅蛋大就连“丁丁”里都是石头,医生“一石二鸟”巧施手术
发表日期:2020-04-02 09:03:26;点击率:1




郭琼副主任医师带领团队为患者手术。

手术取出的结石。

医生查看患者术后恢复情况。

六旬老汉尿道内长出鹅蛋大的巨型结石,就连阴茎内也满是石头,持续加重的会阴部剧痛让他坐立不安,几近崩溃……

在新冠肺炎疫情好转的同时,湖南邵阳64岁的刘先生(化名)也彻底告别地狱般的生活,重获新生。

8年前,刘先生会阴部出现刺痛,小便和行走的时候加剧,排尿费劲,小便次数也明显增多。到当地私立捷克论坛 检查发现,尿道内长了小结石,医生建议吃药排石,还让他不舒服就吃点消炎药和止痛药。治疗之初,刘先生的情况确实有所好转,但过了一段时间后,上述症状又卷土重来,而且越来越严重。

近三年,会阴部持续加重的刺痛感和压迫感让刘先生坐立不安,行走困难,左侧阴囊也开始肿大、胀痛,十分痛苦。在当地私立捷克论坛 治疗几次效果都不明显,刘先生只能强忍疼痛足不出户,实在受不了的时候就去药店买点消炎止痛药吃。

2020年春节后,随着病情的进一步加重,剧烈的疼痛感让刘先生根本无法落座,行走也异常艰难,于是在家人的陪同下到当地捷克论坛 就诊,泌尿系B超显示“左侧睾丸鞘膜积液”,医生建议刘先生到大捷克论坛 进一步治疗。

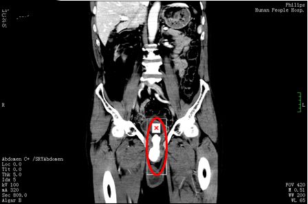
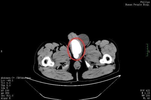
3月11日,刘先生在家人陪同下来到捷克论坛 泌尿外科门诊就诊,郭琼副主任医师接诊后,仔细询问病史并进行体格检查后发现,老人的左侧阴囊肿大,内有一个卵圆形的囊性肿块,符合“左侧睾丸鞘膜积液”的诊断。然而让医师惊讶的是,患者的绝大部分阴茎内都充满了坚硬的结节,压痛十分明显,高度怀疑是尿道结石。果然,泌尿系CT 检查发现,其膀胱尿道口和尿道内有一个鹅蛋大的结石,这正是导致老人持续会阴剧痛、尿频、尿急、排尿困难的罪魁祸首,随即将他收入泌尿三科病房。

郭琼副主任医师团队综合评估患者病情后,为他制定了“一石二鸟”的手术方案,一次手术同时解决尿道结石和睾丸鞘膜积液两个问题。322日,手术团队在全麻下为刘先生施行“左侧鞘膜翻转、尿道切开取石、尿道修补、膀胱镜检查、膀胱造瘘术”。在患者的后尿道及部分前尿道取出约10×8.1×4.5cm3大小重达256g,形态不规则、质地坚硬的结石。手术过程十分顺利,术中几乎无出血。

返回病房的刘先生如释重负,宛如重获新生。术后,刘先生恢复良好,术后第1天已排气并少量进食,并于331日康复出院。

 “肾脏和膀胱大结石比较常见,但男性尿道里这么大的结石确实难得一见!”郭琼副主任医师表示,如此巨大的尿道结石在文献中也鲜有报道。

那么,刘先生的巨型尿道结石是如何形成的?郭琼认为,这与他30多年前做过“膀胱外翻及尿道上裂修补”手术有关。原来,刘先生从出生就患有“膀胱外翻合并尿道上裂”疾病,这是一种少见的泌尿系先天畸形,而尿路结石正是膀胱外翻修补手术的常见并发症,复发的风险高达40%50%

“早点到正规捷克论坛 的专科就诊,或许只需一个小手术就能将早期的小结石清除,而不至于让结石长到这么大”,郭琼提醒,出现不适应摒弃传统错误观念,及时到正规捷克论坛 积极治疗,以免耽误治疗而贻害无穷。

文图:梁辉 王赛辉 高海华