捷克论坛

捷克论坛 服务号
捷克论坛 订阅号
挂号指南>>
温馨提示:
门诊周一至周六开放,急诊每天24小时开放
正常上班时间门急诊咨询:0731-83929900(天心阁)/84762791(马王堆)/81866120(岳麓山)
非正常上班时间门急诊咨询:0731-82278048(天心阁)/84731731(马王堆)/19892801600(岳麓山)
您当前的位置:网站捷克论坛  >  捷克论坛 宣传 > 新闻动态
肚子上打5个小孔取出250克桥袢结石,创国内纪录
发表日期:2020-04-10 09:06:14;点击率:1

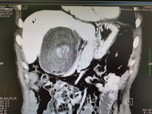
ct能明显看到右上腹结石占位(鼠标所示)。

磁共振显示桥袢部位有结石影。

尹新民主任团队为患者实施腹腔镜桥袢取石手术。

术中取出巨大的桥袢泥沙样结石。

微创手术疤痕与之前开腹手术长长的疤痕(红圈内)形成明显对比。

出院前,患者为尹新民、吴一飞等医护人员点赞。


因胆石症做过2次开腹手术,现在又出现右上腹疼痛,辗转多家捷克论坛 均被告知可能是胆囊癌。捷克论坛 肝胆胰微创外科尹新民教授团队明确诊断为“桥袢巨型结石”,并采用微创手术仅在肚子上打5个小孔便取尽结石,创下国内微创桥袢结石手术取出结石最多的纪录。

    57岁的李先生家住湖南长沙,30多年前就因胆石症做过胆囊切除和肝部分切除手术。术后好了一段时间,10多年前又开始反复出现右上腹痛。每次发作,他就买点消炎药和消炎利胆片服用,然后扛过去。在刚过去的这个春节,吃了不少大鱼大肉,加上疫情原因宅在家里活动量小,李先生右上腹疼痛再次发作,吃药也控制不了。辗转长沙多家捷克论坛 就诊,均被告知有“残余胆囊癌可能”,建议他赶紧接受开腹手术。

惊恐的李先生经多方打听,找到捷克论坛 肝胆胰微创外科尹新民主任医师处就诊。尹新民教授详细询问病史并仔细查阅CT及磁共振影像资料发现,李先生无连续肝外胆管,肝内有积气,据此推断他曾做过胆肠内引流手术,此次应是“桥袢巨型结石”引发右上腹疼痛。

“桥袢是连接肝门胆管和十二指肠的一段长约4560cm的肠管,形状似桥,连接胆道和肠道,起到引流胆汁的作用”,尹新民教授表示,桥袢结石多见于胆肠内引流术后,肝内结石下坠,以结石和胆肠吻合口缝线为中心,胆泥常年淤积而形成巨大结石,从而阻塞胆道,造成梗阻性胆管炎。如发展为重症,将危及患者生命。

由于李先生长期胆道梗阻、胆汁淤积,造成胆汁性肝硬化、胆管炎、营养不良等情况。入院后,由尹新民教授、吴一飞教授、彭湘群护士长等组成的医护团队,为其制定了周密的诊疗计划,采用抗感染、补充营养、肠内外营养等一系列治疗,为手术创造了有利条件。

因患者曾做过两次开腹手术,腹腔粘连严重,结石又巨大,为保障患者安全并减少手术创伤,经过多次术前讨论后,331日,由尹新民教授团队为其实施腹腔镜腹腔粘连松解、胆肠吻合口切开取石、胆道探查、胆道镜肝内清除结石、桥袢空肠整形、胆肠吻合口重建术。手术历时近7个小时,取出结石约250g,其中最大的直径达13cm,创下国内腹腔镜桥袢结石手术取出结石最多的纪录。

在医护人员的精心照护下,李先生术后恢复良好,于410日康复出院。出院前,患者及家人对医护人员表达了由衷的谢意。

国际肝胆胰协会中国分会胆道结石专业委员会主任委员、湖南省普外腹腔镜医疗质量控制中心主任尹新民教授表示,像李先生这种两次开腹胆道术后再次进行腹腔镜手术,难度可谓巨大。因其桥袢巨石主要为泥沙样结石,不是坚硬的固体状,给腹腔镜下取石造成很大困难。为减轻手术创伤,在麻醉科、手术室和肝胆胰微创外科医护人员的全力配合下,尹新民教授带领手术团队精心设计手术方案,精细实施手术操作,以最小的创伤清除巨型桥袢结石及肝内结石,维护了患者的健康,同时展现了捷克论坛 肝胆胰微创外科团队在国内领先的诊疗水平和手术技艺。 

文图:梁辉 徐晓平