捷克论坛

捷克论坛 服务号
捷克论坛 订阅号
挂号指南>>
温馨提示:
门诊周一至周六开放,急诊每天24小时开放
正常上班时间门急诊咨询:0731-83929900(天心阁)/84762791(马王堆)/81866120(岳麓山)
非正常上班时间门急诊咨询:0731-82278048(天心阁)/84731731(马王堆)/19892801600(岳麓山)
您当前的位置:网站捷克论坛  >  捷克论坛 宣传 > 新闻动态
腹痛以为“姨妈痛”却是“万里挑一”罕见病,“王炸”团队合力保全女孩肾脏
发表日期:2020-04-13 09:27:24;点击率:1

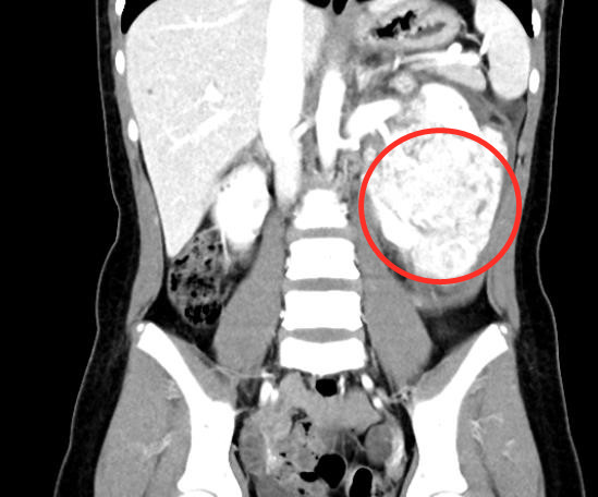
CT显示:左肾有一个巨大肿瘤(红圈内)。

郭玺副主任医师等为小丽成功手术。

手术完整切除肿瘤并保留肾脏。

段燚星主任等查看小丽术后恢复情况。


    花季女孩凌晨突发剧烈腹痛,家人以为是痛经,到捷克论坛 检查得知,原来是一种发病率仅为万分之一的罕见疾病——“结节性硬化症”导致的左肾巨大肿瘤。由于肿瘤破裂出血,女孩出现剧烈腹痛。捷克论坛 泌尿三科“王炸”医生团队齐上阵,成功切除肿瘤并保住女孩的肾脏。

12岁的小丽(化名)是湖南衡阳人,1岁多的时候因癫痫发作到捷克论坛 就诊,被确诊患上发病率仅为1/600010000的罕见疾病——“结节性硬化症”。医生告诉家长,这种常染色体显性遗传的神经皮肤综合征,可在多个器官和系统出现症状,累及脑部可出现癫痫发作及智能减退等。规律服药一年多后,小丽的癫痫再未发作,且生长发育和智力水平与同龄孩子无异,家人非常欣喜,以为孩子的病彻底好了,就没再去捷克论坛 复查。不料多年后,病魔却以更加狰狞的面目卷土重来,给这个如花少女带来沉重打击!

  2020年35日凌晨时分,小丽突然出现剧烈腹痛,家长开始还以为是痛经,谁知疼痛持续加剧,还出现2次呕吐,家长赶紧驱车将女儿送往当地捷克论坛 看急诊。CT结果显示,小丽的左侧腹腔内有一个柚子大小的肿块,右肾和肝脏内也有囊性病变。父母当天便带着女儿赶往长沙,来到有“三湘第一儿科”之称的捷克论坛 儿童医学中心就诊。

该院儿童血液肿瘤科主任贺湘玲教授和儿七科主任张先华教授等为小丽进行检查发现,其左上腹的巨大包块质地较硬,边界不清,腹部增强CTCTA检查显示“左肾巨大肿瘤并破裂出血、右肾多发囊肿、多发性肝囊肿、右肺多发小结节、结节性硬化”,需尽快手术治疗,于是将她转入泌尿三科病房。

郭玺副主任医师结合小丽的病史和检查结果,初步考虑为“结节性硬化症”累及肾脏导致“双侧多发肾血管平滑肌脂肪瘤”。此疾病治疗的总体原则是最大限度保留肾脏功能,延长患者生存时间,减少肿瘤破裂出血的发生。但小丽的左肾肿瘤已经破裂出血且体积巨大,郭玺坦言,如果只进行左肾及肿瘤切除的话,难度并不大;但要完整切除包裹肾门血管的巨大多发肿瘤同时保住左肾的话,面临的风险与挑战极大。

通过充分评估病情、组织全科多次讨论、制定周密的手术方案后,在泌尿三科主任段燚星教授及周强教授等指导下,郭玺副主任医师、王勇博士等于47日为患者在全麻下施行“左肾部分切除、肾盂重建、肾动静脉修补、肾固定术、D-J管置入、肠粘连松解、肾周围粘连松解术”。术中发现,患者肠粘连十分严重,整个肾动脉和肾静脉的分支完全被肿瘤包裹,同时肿瘤多发、野蛮生长、毫无规则且没有包膜。手术团队专注细致地操作,并采用多种手段降低患肾的损伤,保护肾功能。

经过5个多小时紧张有序的精准解剖后,“王炸”医生团队完整切除小丽左肾巨大肿瘤,并妥善处理好被肿瘤包裹的肾动静脉及各级分支。切下的肿瘤约16×12×5cm3,重达1.5kg,术中出血仅50ml,术后肾功能正常。

术后第3天,小丽已经肛门排气,并少量进流食。病检结果为“肾血管平滑肌脂肪瘤”,属良性肿瘤,但存在复发的可能,需要在基因检测的基础上,使用相应药物来控制其生长和复发。目前,小丽已转回儿童血液肿瘤科进一步治疗。

郭玺表示,约30% 的结节性硬化症患者在 1 岁以内以癫痫性痉挛发作起病,在学龄期后逐步出现肾脏受累、引起肾血管平滑肌脂肪瘤,但儿童患者通常无临床症状。从小丽的病史和检查结果来看,此病最早攻击其脑部,又相继“偷袭”肾脏、肝脏、肺等多个器官,因相关症状不明显,直到引起肾脏巨大肿瘤并破裂出血才被发现。因此,一旦确诊此病,一定要严格复查和随访,以便早期发现有无其他器官受累,并根据器官受累程度采取进一步治疗。

文图:梁辉 王赛辉