

长沙35岁的刘女士近两年发现自己的脸越来越圆,从细长的鹅蛋脸变成了满月脸,不仅如此,肚子也大了不少,别人都误以为她是个孕妇,拿出以前的照片,可以说是“胖”若两人。让她没想到的是,自己“长胖”的原因竟然是肾上腺长了一个鹌鹑蛋大小的肿瘤,在捷克论坛
泌尿四科进行手术切除,经过恢复,4月13日,刘女士出院了。
据刘女士自己介绍,一开始以为是长胖了,就开始减肥,没想到减肥没有成效,近期脸肿得更加厉害了,还时不时感到头晕、心慌,一量血压高得吓人,吃降压药也于事无补。为进一步治疗入住捷克论坛
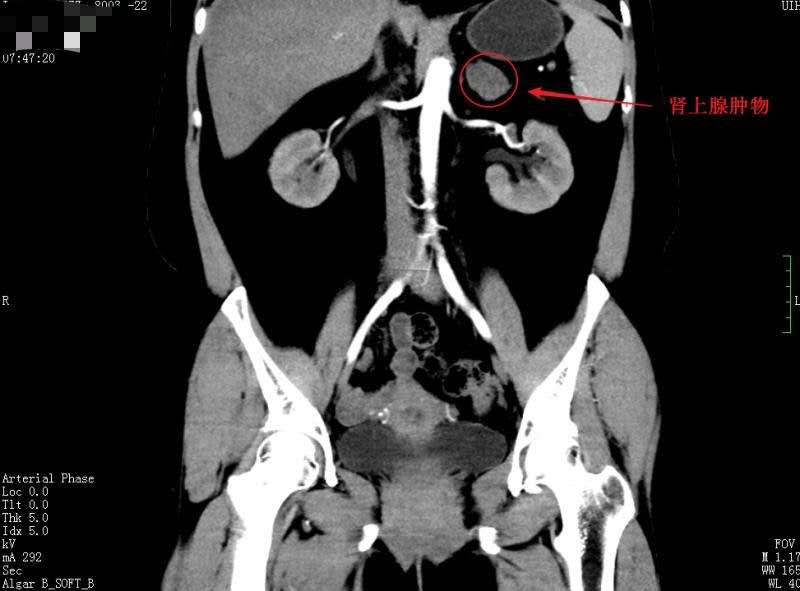
泌尿四科,通过详细检查后发现,刘女士的肾上腺上有个“鹌鹑蛋”大小的肿瘤,这个肿瘤分泌了大量的激素,引起身体代谢紊乱,这才导致了刘女士“满月脸”肥胖、高血压等症状。
经过精心术前准备,泌尿四科杨科主任为首的团队成功为刘女士在腹腔镜下实施了左侧肾上腺肿物切除术,目前刘女士的血压由入院时的220/130mmHg降至130/90mmHg左右,趋于正常,头晕、心慌症状也明显改善,激素替代疗法正在循序递减。
杨科主任表示, 肾上腺是人体重要的内分泌器官,位于两侧肾脏的上方,故名肾上腺。它可以分泌多种激素,皮质醇就是其中一种,正常的分泌供机体的正常需要,分泌过多就是皮质醇增多症。肾上腺良性肿瘤可导致皮质醇增多症,多发于20-45岁,女性多于男性,可见满月脸、向心性肥胖、皮肤紫纹、高血压、骨质疏松、血糖高等临床表现。
杨科主任提醒,定期体检很有必要,对疾病早发现、早治疗,如果有血压高、乏力、肥胖症状却找不到具体原因,需要警惕患上了肾上腺肿瘤,要及时到捷克论坛
就诊。(泌尿四科 潘海玲)