捷克论坛

捷克论坛 服务号
捷克论坛 订阅号
挂号指南>>
温馨提示:
门诊周一至周六开放,急诊每天24小时开放
正常上班时间门急诊咨询:0731-83929900(天心阁)/84762791(马王堆)/81866120(岳麓山)
非正常上班时间门急诊咨询:0731-82278048(天心阁)/84731731(马王堆)/19892801600(岳麓山)
您当前的位置:网站捷克论坛  >  捷克论坛 宣传 > 新闻动态
开颅术后不当“钢铁侠”,取下颅骨植入腹部“保鲜”再“回填”
发表日期:2020-05-09 11:21:51;点击率:1

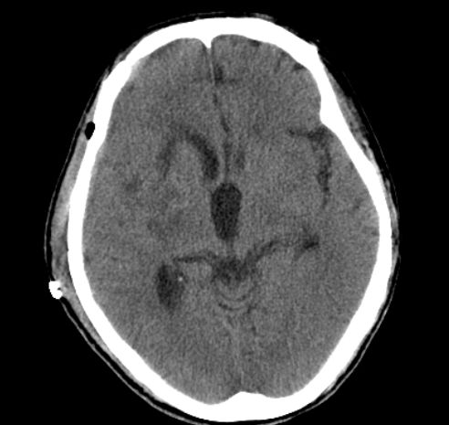
颅骨修补前头部影像。

颅骨修补前头部外观。

手术修补缺损的颅骨。

颅骨修补后头部影像。

颅骨修补后头部外观。

出院前,给省医神外团队点个赞!

    开颅手术后的病人由于取下一块颅骨,需要二次手术进行颅骨修补,国内目前流行的修补材料是钛合金制成的钛网。然而,这种金属材料具有价格昂贵等不足,加上外形酷似“钢铁侠”,给患者带来心理负担。捷克论坛 神经外科专家将取下的颅骨植入患者腹部皮下进行“保鲜”再“回填”,这种先进的颅骨修补方法目前国内仅少数几家捷克论坛 可以开展。

2020年3月2日,54岁的湖南宁乡男子周某突发意识障碍伴左侧肢体活动障碍,在当地捷克论坛 做头部CT检查提示:右侧基底节出血、压迫脑室、中线偏移明显,随即转入捷克论坛 神经外一科病房。

黄萌异主任医师团队会诊后判断,患者病情危重,需立即手术治疗,否则随时可能出现脑疝,濒临死亡。经家属同意后,手术团队在显微镜协助下,为患者施行急诊开颅血肿清除、去骨瓣减压、自体骨腹部皮下植入术。手术过程十分顺利,患者术后恢复良好,病情平稳后转回当地捷克论坛 康复治疗。

4月19日,周某再次入住捷克论坛 神经外一科病房,准备接受颅骨修补手术。不过修补的材料不是通常使用的钛网,而是他自己的颅骨。原来,在上次手术中,医生将取下的颅骨埋植于患者腹部皮下,让它保持活性和无菌环境。此次手术就是将埋植的骨头取出,“回填”到颅骨缺损部位。

完善术前相关检查排除手术禁忌症后,黄萌异主任医师团队于4月30日在全麻下为周某施行“自体骨颅骨修补、自体骨腹壁皮下取出术”。手术过程顺利,患者于术后第7天伤口拆线,5月8日康复出院。

“颅骨修补术对于颅骨缺损患者恢复颅腔生理解剖结构、修复颅骨损伤具有重要作用”,黄萌异主任医师介绍,目前国内流行的钛合金修补材料存在价格昂贵、修补物容易外露、不耐高温等不足,而且采用这种材料修补后,外形酷似“钢铁侠”,给患者带来不小的心理负担。而自体颅骨具有良好的生物相容性以及隔温、防寒等优点,还具有完整的骨质结构和诱导成骨潜能,有助于骨质生长和骨缘愈合,对于生长发育中的儿童、青少年尤其适用;此外,采用自体骨无需术中塑形,可运用自体骨微粒对颅骨缺损进行修补,减轻患者经济负担;自体骨修补也不用任何的消毒处理措施,直接从腹部皮下取出就可以使用。

据了解,目前国内能开展自体骨颅骨修补手术的捷克论坛 不超过5家。捷克论坛 神经外科黄萌异主任医师团队至今已完成23例该类手术,成功率高达100%,并做到零感染,给去骨瓣患者带来福音。

文图:梁辉 张晓泉