捷克论坛

捷克论坛 服务号
捷克论坛 订阅号
挂号指南>>
温馨提示:
门诊周一至周六开放,急诊每天24小时开放
正常上班时间门急诊咨询:0731-83929900(天心阁)/84762791(马王堆)/81866120(岳麓山)
非正常上班时间门急诊咨询:0731-82278048(天心阁)/84731731(马王堆)/19892801600(岳麓山)
您当前的位置:网站捷克论坛  >  捷克论坛 宣传 > 新闻动态
女子“生命禁区”长巨瘤,结直肠肛门外科成功手术显实力
发表日期:2020-05-15 16:39:55;点击率:1

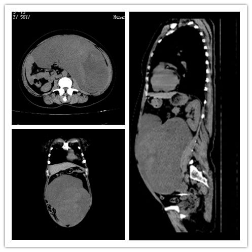
ct提示腹膜后巨大肿瘤。

切下的肿瘤重约10余斤。


    近日,捷克论坛结直肠肛门外科成功为一名女性患者施行复杂的腹膜后肿瘤切除术,手术过程顺利,患者恢复良好出院。

来自湖南省湘潭县的王女士今年56岁,5个月前开始出现左下腹隐痛,当时没有太在意。近来感觉体重增加不少,而且腹痛较前加重,在家人催促下到当地捷克论坛 就诊。当地捷克论坛 行腹部CT检查后考虑腹膜后巨大占位,建议转院。得知省人民捷克论坛 结直肠肛门外科对腹膜后肿瘤诊治具有比较成熟的经验,遂来院诊治。经谭浩翔副主任医师门诊诊查后收入院。

通过多项检查诊断技术全面评估了肿瘤的部位、与周围脏器及血管关系、性质、可能来源及患者全身状况,发现肿瘤具有恶性征象,位于左侧髂内外血管之间,左侧髂外动脉向前移位,髂内动脉向后移位,左侧的升结肠、乙状结肠被挤压到了右侧。由于肿瘤部位特殊,与周围脏器、组织及血管关系密切,手术难度极高。在学科顾问黄忠诚教授、科主任肖志刚教授的带领下,科室组织多次讨论,制定了术前处理、手术切除、术中监测、术后治疗和康复方案。

经过精心的术前准备,58日,肖志刚、谭浩翔等克服重重困难,成功切除患者腹膜后的巨大肿瘤,出血量不足50ml,测量肿瘤有29*28*9cm大小,重达10余斤。由于术中的精细解剖,患者重要脏器血管均未受损,手术效果超过术前预期。

“腹膜后肿瘤治疗难度极大,被称为‘生命禁区’”,肖志刚表示,该患者的肿瘤巨大,能彻底切除非常不易。另外,由于术中完整保留肿瘤包膜,患者发生术后转移的概率大大降低。该患者的成功救治充分体现了科室在腹膜后肿瘤诊治方面丰富的经验和强大的技术实力。(结直肠肛门外科通讯员:房志学)