捷克论坛

捷克论坛 服务号
捷克论坛 订阅号
挂号指南>>
温馨提示:
门诊周一至周六开放,急诊每天24小时开放
正常上班时间门急诊咨询:0731-83929900(天心阁)/84762791(马王堆)/81866120(岳麓山)
非正常上班时间门急诊咨询:0731-82278048(天心阁)/84731731(马王堆)/19892801600(岳麓山)
您当前的位置:网站捷克论坛  >  捷克论坛 宣传 > 新闻动态
河北胆石病患者千里来湘再手术,胆道内镜结合钬激光成功碎石取石
发表日期:2020-05-21 11:10:45;点击率:1

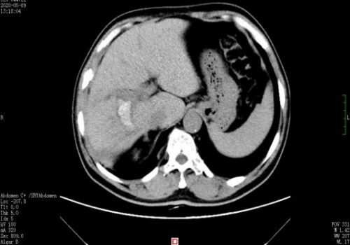
术前ct示肝内胆管结石。

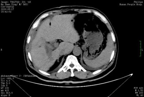
术后复查ct示结石已取尽。


河北57岁的王先生1年前因“上腹部疼痛不适”被诊断为“肝胆管结石”,在当地接受开腹胆道手术。近日,他因上腹部疼痛行CT检查发现,右后叶肝管及尾叶胆管长满铸型结石。由于结石位置刁钻难取尽,手术难度和风险大,被多家捷克论坛 婉拒手术。

今年4月,患者通过网络平台了解到,捷克论坛 胆道外二科在肝胆管结石的诊断和胆石病钬激光碎石治疗上有独到之处,长途奔袭千里来到长沙,就诊于汪新天主任医师及陈晨副主任医师处,随即被收入捷克论坛 胆道外二科治疗。

在充分了解患者的病情和诉求后,胆道外二科主任汪新天主任医师及陈晨副主任医师团队组织术前讨论,确定再次胆探,肝门胆管高位切开及胆管再整形,硬镜探查、钬激光碎石,胆肠内引流重建的手术方案。

术中情况如术前判断,腹腔内致密粘连,解剖结构难辨;肝方叶肥大增生,胆管狭窄亦为敞开肝门增加了很大难度。在胆道外二科专家团队的高超技艺和谨慎操作下,运用特色硬镜联合钬激光碎石方法,结合胆管高位切开及胆管微整形技术,在保肝的情况下清除肝内外胆管结石。手术历时3个小时顺利完成,术中无输血。术后复查肝内胆管结石全部取尽。

手术后,胆道外二科医护人员运用加速康复外科ERAS理念,采用多模式镇痛、早期鼓励患者开展机体功能锻炼等措施。术后第二天,患者即进流食,下床活动;术后第三天复查CT显示,肝内胆管结石已全部取尽,王先生向医护人员竖起大拇指连连称赞。(胆道外二科:胡霞红 米杨 )