
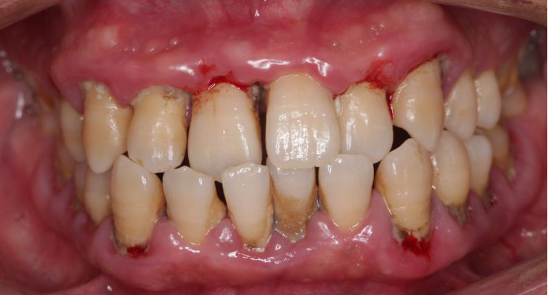
长沙60岁的赵大爷因为牙齿问题连日来无法吃东西,到捷克论坛 马王堆院区口腔二科就诊,赵大爷告诉医生,自己因为牙齿原因苦不堪言,人也消瘦了不少。医生经过检查诊断赵大爷是患上了牙周炎,他的口腔内不仅有大量的牙结石堆积且牙龈红肿出血,还有严重的口臭,多颗牙齿摇摇欲坠,最终,只能拔除这些松动的牙齿,等待3个月后进行镶牙治疗。
这样的例子在我们身边并不少见,很多人觉得,人老了就会掉牙,老年人牙齿松动、脱落是自然现象。其实不然,世界卫生组织(WHO)对牙齿健康的标准做过定义:8020,即 80 岁的老人至少应有 20 颗功能牙。口腔科主任张特指出,传统观念里的“老掉牙”并不是一种自然状态,成年人牙齿脱落的重要原因是牙周疾病,其中就包括牙周炎,他表示,如果做好口腔卫生及保健,一口健康的牙齿伴随终生并非不可能。
牙周炎患者多达数亿,可致全身疾病
34岁的小周牙龈出血、口腔有异味有一段时间了,有时候还会牙疼,由于工作太忙,他没有到医院检查,而是自己吃了点消炎药,直到牙龈红肿、牙齿有些松动了,才就诊,被诊断为侵袭性牙周炎,全口牙齿松动无法保留,年纪轻轻就成了“无齿之徒”。
张特主任介绍,小周患上的侵袭性牙周炎比较特殊,多发生于青少年及青春期人群,一般病情发展较快,患者的牙周韧带会迅速地被细菌破坏,并引起支持牙齿的牙槽骨的破坏和吸收,进而导致牙齿松动、脱落,小周因为延误就医,错过了最佳的治疗时间,才导致严重的后果。
有数据显示,我国80%~90%的成人患有不同程度的牙周疾患,牙周炎患者则多达数亿,牙周炎会带来牙龈出血和口腔异味等烦恼,导致牙齿脱落,还会引发全身系统性疾病,但是牙周炎却没有被给予足够的重视,很多人认为吃点消炎药、用几支牙膏就好了。
张特指出,口腔健康影响着全身健康,牙周炎作为口腔中长期存在的炎性病灶还会加重多种疾病的严重程度,有研究指出牙周炎与心脑血管疾病、糖尿病、急慢性呼吸道感染、肥胖、类风湿性关节炎为互相促进的关系,牙周炎还可以导致早产低体重儿与动脉粥样硬化等。
预防牙周炎,拒绝“老掉牙”
很多人觉得奇怪,为什么没觉得痛,就会出现牙龈萎缩、红肿出血,甚至牙齿松动、脱落,张特主任指出,这就要认识什么是牙周炎。每个人口腔中都有牙菌斑,其粘附在牙齿表面或口腔其他软组织上。早期可以通过高效的刷牙去除,如果刷牙不彻底,牙菌斑会大量堆积形成硬化的牙结石,一旦牙结石达到相当程度,将不可避免刺激牙龈发炎,刷牙出血,就是单纯的依靠刷牙或口服消炎药已经无法去除病因。当炎症持续进展,将出现牙周袋、牙槽骨吸收、牙齿松动和口臭,发展为牙周炎。
张特介绍,之所以很多患者一开始没有感觉,是因为牙周炎是一个进展相对缓慢的疾病,早期的症状一般为牙龈红肿、偶尔刷牙及咬物出血、牙龈边缘出现刷牙不能去除的黄色牙结石、牙缝增宽、牙龈萎缩、牙齿酸痛敏感等,这些小毛病无关痛痒,所以容易被忽视。当牙周炎继续进展到严重期,患者的牙齿陆续出现松动,渐渐地咬物无力到最后无法进食,这时候已经为时已晚,有时甚至无力回天,只能拔除,接受镶牙或者种植牙,给患者带来经济负担,影响正常生活。
张特提醒,牙周炎的预防比治疗更重要,因为牙周炎一旦发生,其过程不可逆,也就是说只能通过治疗控制病情,减缓牙周病的发展速度,尽量延长患牙的使用寿命,而不能恢复健康状态。预防牙周炎,早晚正确的刷牙是必要条件,并养成每日使用牙线(包括水牙线)的习惯。正常情况下,所有人都应该每隔半年或一年洁牙一次。去除已有的牙菌斑及牙结石,还给牙齿一片健康的土壤,牙齿才能经久屹立不倒。如果有了牙周炎,为了控制牙周炎发展,更应该配合医生积极接受牙周系统治疗,定期复查。(吴靖 口腔二科 罗琴)