

从老人气道里取出的2颗桂圆核。
老年二科何翠娥副主任医师、谌彦副主任医师查看老人恢复情况。
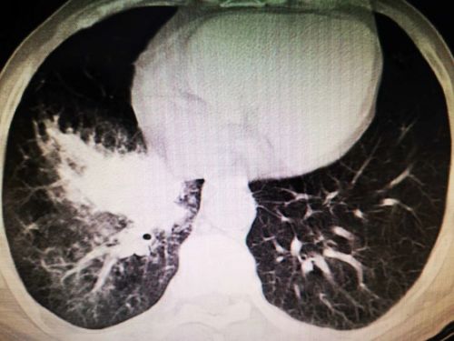
6月上旬,湖南宁乡75岁的姜爷爷连续4天发高烧,最高体温达到40.1℃,可自行退烧,除阵发性腹痛外没有其他不适。无规律的高热让平时身体硬朗的老人没了精气神,吃了几天中药不见好转,在家人的反复劝说下,来到捷克论坛 就诊。初步筛查排除新冠肺炎后,老年医学中心何翠娥副主任医师仔细询问病史,并为其进行详细的体格检查, CT 检查提示:1.右下肺阻塞性肺炎;2.右下肺团块灶,性质待定,考虑肿瘤可能性大。随即将其收入老年医学中心二病室,做进一步的检查和治疗。
入院后,何翠娥副主任医师、谌彦副主任医师组织病情讨论。何医师凭借多年临床经验判断,不排除进食呛咳等导致吸入性肺炎的可能性,于是反复向老人和家属询问是否有进食呛咳史,均予以否认,表示没有咳嗽、咯血等症状。
只有尽快找到肺部阻塞的原因,才能有的放矢消除炎症,医疗组决定为老人进行支气管纤维镜检查。但姜爷爷坚决不肯,天天闹着要回家,情绪狂躁,胡言乱语,不但拔掉自己的输液管和心电监护仪,还跑到其他病房敲门吵闹,让家属和医护人员头痛不已。
尽管如此,医护人员没有放弃,一边给予常规检查和治疗,一边邀请呼吸与危重症医学科专家会诊,决定于6月15日在静脉复合麻醉下为老人进行支气管纤维镜检查。检查前,何翠娥副主任医师和谌彦副主任医师提前到病房查看老人的情况,见老人仍在发热寒战,遂指导护士为其物理降温,并派医护人员陪同检查。
呼吸与危重症医学科吴怀球副主任医师为老人进行支气管纤维镜检查,从其右下叶基底段支气管内取出2颗果核,经家属辨认为桂圆核。据姜爷爷的老伴回忆,今年春节后很长一段时间,因疫情原因不能串门,姜爷爷吃完晚饭就会斜躺在床上看电视,有时还边看电视边吃零食,桂圆核估计就是那时候误入气道的。
“老年人吞咽功能以及各种保护性的反射能力下降,即使异物误入气道也可能没有典型症状,一旦出现不适,应尽早到医院确诊、治疗”,何翠娥副主任医师提醒,气管异物是常见的危急重症,可导致患者呼吸困难、肺部感染及肺不张,重则窒息、死亡,千万不能大意。
怎样预防老年人异物进入气管?捷克论坛 老年医学中心主任欧柏青主任医师支招:
1.进食时不要同时做其他事情,以免将口中食物误吸入气道。
2.餐后应仔细清洁口腔,防止口腔内残留食物在变换体位时发生误吸;佩戴假牙者进食后要检查假牙是否在口腔内,并及时予以清洁。
3.神志清楚的老年人进食时应尽量采取坐位或半卧位,颈部轻度屈曲;进食后不要立即躺下,保持此种姿势半小时左右;意识障碍者可采取侧卧位进食,保持气道通畅或头偏向一侧,以免误吸;嗜睡的老年人,宜在餐中和餐后保持坐位,床头角度30°~60°能有效减少误吸的发生。
4.提倡细嚼慢咽,不要狼吞虎咽。吃瓜类时要吐出瓜籽,吃水果时要吐出果核。对吞咽功能不全的老人在喂食时需注意速度,确保上一口食物已经吞咽入胃,再喂下一口;最好将食物做成糊状。
5.对反复发生误吸的老人可进行鼻饲。进食前要检查鼻饲管的位置是否正确,应确定在胃内后方可注入,以防误灌;每次灌注前应检查胃内残留液,残留液多时应暂停进食;每餐鼻饲食物的量不宜过多,注入的速度不宜过快,以15~30分钟喂完为宜;食物温度在40℃左右较合适,以免冷热刺激导致胃痉挛、呕吐。
6.进食前充分咳嗽。对呼吸功能不全的老人,如咳嗽、多痰、喘息者,进食前要鼓励其充分咳痰,避免进食中咳嗽导致误吸。
7.一旦发现有反复咳嗽、气喘、呼吸困难等症状,应立即送医诊治;对于部分症状不典型的老人,如乏力、发热、精神状况差时,也应及时就医,以免延误治疗,加重病情。
文图:梁辉 姚佳 吴凡