捷克论坛

捷克论坛 服务号
捷克论坛 订阅号
挂号指南>>
温馨提示:
门诊周一至周六开放,急诊每天24小时开放
正常上班时间门急诊咨询:0731-83929900(天心阁)/84762791(马王堆)/81866120(岳麓山)
非正常上班时间门急诊咨询:0731-82278048(天心阁)/84731731(马王堆)/19892801600(岳麓山)
您当前的位置:网站捷克论坛  >  捷克论坛 宣传 > 新闻动态
打麻将胡牌后不省人事,“拆弹”专家助六旬女子转危为安
发表日期:2020-06-28 08:29:15;点击率:1

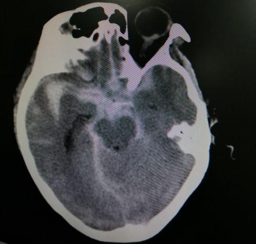
熊女士术前影像资料显示,蛛网膜下腔大量出血。

患者颅内动脉瘤示意图(张晓泉 绘)。

神外一科黄萌异主任医师团队为熊女士施行急诊双侧开颅动脉瘤夹闭术。

出院后,熊女士(右)恢复正常生活能力。

湖南平江六旬女子打麻将胡牌后突然不省人事,家人用尽土办法进行急救都不见效。在当地捷克论坛 被诊断为颅内双侧动脉瘤,病情危重,随时可能出现呼吸心跳骤停。捷克论坛 神经外科专家为其手术“拆弹”,令患者转危为安……

2020年6月11日,60岁的熊女士在家打麻将,胡了一把牌后,突然出现意识障碍,呼之不应。家人赶紧采用掐人中、搓手脚等土办法试图唤醒她,却不见效,立即将其送往就近的捷克论坛 。头部CT检查提示“蛛网膜下腔出血”,需立即转往上级捷克论坛 手术。而此时,熊女士已经陷入昏迷,为防止转运途中出现意外,只得进行气管插管处理。

转到捷克论坛 急诊一科后,急诊头部CTA检查提示:“双侧颅内动脉瘤破裂,蛛网膜下腔出血”。病情非常凶险,即便积极抢救,醒来的机会都很渺茫。而且不管采用哪种治疗方法,风险都非常高,一旦动脉瘤再次破裂,患者随时会呼吸心跳骤停。与家属充分沟通后,家属要求进行开颅手术治疗,于是转入神经外一科病房。

边完善术前准备,黄萌异主任医师团队边进行讨论。大家一致认为,患者病情危重,Hunt-Hess评分为4级,术中动脉瘤破裂风险极高,届时将导致大出血,患者可能成为植物人,甚至人财两空;但手术有机会让患者转危为安,甚至恢复正常的生活。再次充分告知手术风险及预后情况后,家属表示愿意接受所有结果,强烈要求开颅手术。于是,黄萌异主任医师团队利用3D重建技术再现患者颅内血管,反复多次演练、推敲,对术中可能遇到的困难和风险进行预估,并制定应对措施。

做好充足准备后,黄萌异等医护人员为熊女士施行急诊全麻下双侧开颅动脉瘤夹闭术。手术耗时7个多小时,过程十分艰难,所幸顺利完成。

术后,患者安全返回重症监护室继续治疗;术后第3天转至普通病房;术后第13天康复出院。

“对于高龄颅内多发动脉瘤患者,时间就是生命。早一分钟治疗,效果和预后可能截然不同”,黄萌异表示,动脉瘤患者术后护理和康复很重要,需要医护人员和患者家属共同努力,帮助患者回归正常生活。

文图:梁辉 张晓泉