捷克论坛

捷克论坛 服务号
捷克论坛 订阅号
挂号指南>>
温馨提示:
门诊周一至周六开放,急诊每天24小时开放
正常上班时间门急诊咨询:0731-83929900(天心阁)/84762791(马王堆)/81866120(岳麓山)
非正常上班时间门急诊咨询:0731-82278048(天心阁)/84731731(马王堆)/19892801600(岳麓山)
您当前的位置:网站捷克论坛  >  捷克论坛 宣传 > 新闻动态
女子腹胀如鼓又怀上了?肝脏巨大血管瘤足有2个“毛毛”重,还合并这种病……
发表日期:2020-07-06 17:27:15;点击率:1

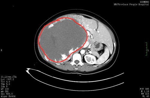
患者肝脏巨大血管瘤几乎占据整个上腹部。

陈晨副主任医师等为周女士手术切除瘤体。

切下的血管瘤约32×25×10cm3大小、重达5.5公斤。

汪新天主任医师带领医护团队查看患者术后恢复情况。

出院前,患者和家属为医护人员送上锦旗。

女子半年来肚子越长越大,活像身怀六甲,没想到竟然是肝脏上面长了个巨大的血管瘤。肿瘤达到2个足月胎儿的重量,几乎占据她整个上腹部,还合并 “卡梅综合征”,手术可谓难上加难。捷克论坛 肝胆团队迎难而上,成功切除肿瘤,让女子重获新生。

39岁的周女士家住湖南汉寿县,大约从半年前开始,她发现自己的肚子越长越大,还常有饱胀的感觉,周围人都怀疑她是不是又怀孕了。2个月前,由于腹胀越来越严重,吃不下、睡不好的周女士到当地捷克论坛 做腹部CT检查,被告知:肝脏上面长了一个巨大的肿块,怀疑是血管瘤。由于肿块巨大,手术难度和风险极大,辗转多家捷克论坛 手术未果后,2020620日,周女士经人介绍找到捷克论坛 胆道外二科汪新天主任医师处就诊,随即被收入院。

入院后,陈晨副主任医师等为其完善相关检查发现,周女士不仅有肝脏巨大血管瘤,还合并“卡梅综合征”。这是一种因肝血管瘤巨大,大量血液滞留在血管瘤内,严重消耗凝血因子,导致血小板减少、凝血机制异常,而出现的一系列局部及全身症状的罕见疾病。这无疑给本就困难重重的手术再添难题。

考虑到瘤体巨大,术中一旦破裂,容易出现大出血,危及患者生命;加上患者合并卡梅综合征,术中、术后容易因血小板减少出现凝血功能障碍,并发手术创面出血。汪新天主任医师、陈晨副主任医师等反复讨论后,决定迎难而上,联系血液科、麻醉科开展MDT多学科讨论和协作,做好充足的术前准备。

6月28日,手术由陈晨副主任医师、段文斌博士团队在肝胆外科专家蒋波教授、汪新天教授和彭创教授的指导下进行。进腹后发现,一个约32×25×10cm3大小的巨大肝血管瘤几乎占据患者整个上腹部,手术切除难度极大。在手术团队的群策群力和谨慎操作下,顺利完成解剖性右半肝联合肝血管瘤切除手术,切下的肿瘤重达5.5公斤,差不多有2个足月胎儿的重量。

术后,胆道外二科医护人员将加速康复外科ERAS理念运用于临床,采用术后多模式镇痛、早期鼓励患者开展机体功能锻炼等措施,帮助患者尽快康复。术后第三天,周女士就能进食和下床活动,并于77日康复出院。

“肝脏血管瘤是一种较常见的肝脏良性肿瘤,多数没有明显不适症状,常在体检中发现”,陈晨提醒,如果体检发现肝脏血管瘤,瘤体在短时间内迅速增大,出现压迫周围脏器的症状以及凝血功能障碍,建议尽早就医,以免延误治疗。

专家风采

陈晨

副主任医师,硕士生导师,博士,美国梅奥捷克论坛 肝胆胰外科访问学者,中国医疗保健国际交流促进会互联网医疗分会委员,国家远程医疗与互联网医学中心肝胆外科专家委员会特聘专家,湖南省健康管理学会加速康复外科专业委员会常务委员、秘书,湖南省中医药和中西医结合学会普通外科专业委员会青年委员,湖南省肝胆胰外科联盟理事、秘书。

擅长肝胆外科疾病如胆囊结石、胆囊息肉样病变、胆囊癌、复杂肝胆管结石、胆管癌、肝癌等疾病的临床诊断及外科手术治疗,尤其擅长复杂肝胆管结石、全肝结石的外科手术和经皮肝胆管穿刺钬激光碎石取石术(PTCSL)及腹腔镜等微创外科手术治疗。

参与或主持国家自然科学基金项目、湖南省临床医疗技术创新引导项目、湖南省自然科学基金项目、湖南省卫计委科研基金项目、长沙市科技局科研基金项目及仁术科研基金项目等多项课题,在SCI、核心期刊发表学术论文多篇、参编医学专著一部。

门诊时间:周二下午(天心阁院区)

文:梁辉 米杨 图:胡霞红 彭友