
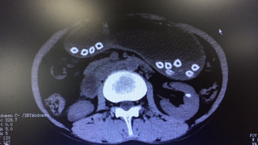
CT结果显示的杨梅核


胃镜下取杨梅核
酸甜可口的杨梅让人欲罢不能,其所含的果酸能开胃生津,消食解暑,但有些人吃杨梅却没有吐核的习惯,医生表示,杨梅带核吞下的做法不可取,大量食用杨梅核可能造成消化道梗阻,不利于健康。
前些日子是吃杨梅的时节,湖南新化56岁的谢先生因为胆道疾病胃口不佳,为了能有个好胃口,这段时间以来,他天天都吃3-4颗新鲜杨梅,但却是“囫囵吞梅”,连着核一起吞下。
一周前,谢先生突然感到右上腹疼痛,并且恶心、呕吐,到当地医院就诊,胃镜检查结果吓了他一跳,很多杨梅核潴留在胃及十二指肠球部,因病情需要转入捷克论坛 消化二科。
入院时,谢先生腹部疼痛难忍,腹部CT提示胃内异物,完善术前检查后,张渝副主任医师为谢先生在胃镜下实施异物取出术,通过异物网篮共取出32颗杨梅核,其中有3颗崁顿在十二指肠球部,使得肠壁变薄,有穿孔的危险。
术后谢先生恢复良好,于7月13日顺利出院。他表示,根本没有想到不吐杨梅核会有这么严重的后果,因为当地人吃杨梅都没有吐核的习惯,包括他的祖父母多年如此也没有异常。张渝副主任医师告诉谢先生,这是因为他以前做过胆总管切开取石的手术,十二指肠较为狭窄,才导致吞下的杨梅核无法顺利排出。
张渝副主任医师提醒,患有消化道溃疡、消化道憩室或狭窄、消化道动力障碍等疾病的人在吃有核水果时一定要吐核,因为杨梅核、荔枝核、龙眼核、葡萄籽等大小约3-10mm,易发生崁顿、堵塞,特别是大量食用时,易造成消化道梗阻,取异物过程中会有穿孔、出血等风险,甚至部分异物板结成块只能通过外科手术取出,造成不必要的伤害。(消化内科 曾敏婕 唐玉娟)