捷克论坛

捷克论坛 服务号
捷克论坛 订阅号
挂号指南>>
温馨提示:
门诊周一至周六开放,急诊每天24小时开放
正常上班时间门急诊咨询:0731-83929900(天心阁)/84762791(马王堆)/81866120(岳麓山)
非正常上班时间门急诊咨询:0731-82278048(天心阁)/84731731(马王堆)/19892801600(岳麓山)
您当前的位置:网站捷克论坛  >  捷克论坛 宣传 > 新闻动态
患百万里挑一的疾病!“拆弹部队”1次手术拆除颅内3个“不定时炸弹”
发表日期:2020-07-21 16:37:55;点击率:1

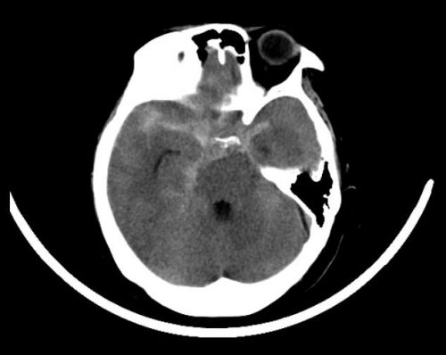
术前影像显示,大量蛛网膜下腔出血。

神经外科黄萌异主任医师等为患者施行手术。

术后1小时,患者即恢复意识,可与人正常交流。

患者家属赠送锦旗表达感谢。

六旬老人颅内长了3个动脉瘤,相当于3个“不定时炸弹”!这种情况十分罕见,可以说是百万里挑一。捷克论坛 神经外科专家一次手术夹闭双侧3个动脉瘤,安全“除爆”。

2020年75日,湖南宁乡68岁的彭女士早上起床时突然头晕、头痛,恶心还呕吐。家人赶紧将她送往当地捷克论坛 ,头部CT检查提示“大量蛛网膜下腔出血”,建议转往上级捷克论坛 进一步诊治。

彭女士随即被120急救车送至捷克论坛 急诊一科,急诊头部血管显影检查发现,颅内有两个动脉瘤,位置一前一后,后面这个已经破裂出血,必须尽快手术。随即以“颅内多发动脉瘤破裂致蛛网膜下腔出血”,被收入神经外一科病房。

神经外一科黄萌异主任医师团队仔细分析各项检查资料后认为,患者高龄,颅内多发动脉瘤,血管质量差,进一步完善全脑血管造影检查提示:颅内两个动脉瘤分别为右侧颈内动脉后交通段动脉瘤(已破)和前交通动脉瘤(未破),随即制定一次开颅夹闭2个动脉瘤的手术方案。

由于动脉瘤第一次破裂死亡率在20%以上,第二次破裂死亡率高达70%以上,一旦动脉瘤再次破裂,患者可能立即呼吸心跳骤停,因此手术风险极高。黄萌异主任医师团队术前充分分析、讨论,模拟术前、术中、术后可能发生的风险并制定应对措施后,于76日为患者在全麻下施行“双侧开颅颅内多发动脉瘤夹闭术”。

术中意外发现,患者颅内竟然还有第三个动脉瘤,而且瘤体还有重要分支。黄萌异主任医师凭借丰富的临床经验和过硬的心理素质妥善处理。最终,手术历时7个多小时顺利完成,3个“炸弹”被全部“拆除”。

术后不到1个小时,患者就恢复意识,四肢活动良好,能正常与人交流,第二天转回普通病房继续治疗,并于722日康复出院。

“颅内多发动脉瘤的发病率只有百万~千万分之一”,黄萌异表示,颅内多发动脉瘤十分罕见和凶险,手术难度和风险比普通动脉瘤高很多;加上动脉瘤随时可能破裂,就像“不定时炸弹”,一旦发现须尽早处理,贻误治疗可能造成无法挽回的后果。

文图:梁辉 张晓泉