捷克论坛

捷克论坛 服务号
捷克论坛 订阅号
挂号指南>>
温馨提示:
门诊周一至周六开放,急诊每天24小时开放
正常上班时间门急诊咨询:0731-83929900(天心阁)/84762791(马王堆)/81866120(岳麓山)
非正常上班时间门急诊咨询:0731-82278048(天心阁)/84731731(马王堆)/19892801600(岳麓山)
您当前的位置:网站捷克论坛  >  捷克论坛 宣传 > 新闻动态
男子流泪1年以为手机刷太多,原是脑袋里长了个大肿瘤!
发表日期:2020-07-23 15:42:28;点击率:1

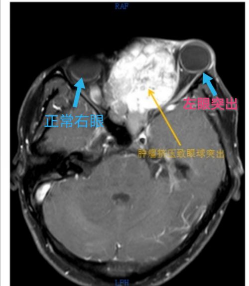
头部ct上可以看到,肿瘤挤压致左眼球外凸。

神经外科孙圣礼副主任医师等为患者施行显微镜手术。

耳鼻咽喉头颈外科周建波主任医师等为患者施行鼻内镜手术。

切除的肿瘤重约280g。

医生为患者进行出院前评估。

出院前,患者及家属送上锦旗以表感谢。


流泪不止、眼球外凸、视力下降,以为是手机玩太多惹的祸,没想到这一系列眼部不适症状,竟然是脑袋里长了个大肿瘤导致。

30岁的湖南永州男子小陈(化名)大约从一年前开始出现左眼反复流泪的情况,以为是玩手机时间太长引起的,没放在心上。3个月前,他照镜子时突然发现自己左侧鼻面部隆起,左眼球凸起,还伴有鼻塞、鼻根部疼痛,左眼视力也有所下降。

在当地捷克论坛 做头部CT发现,鼻腔、上颌窦有肿块,已经侵犯颅底。为寻求进一步治疗,小陈于2020630日来到捷克论坛 耳鼻咽喉头颈外科肖旭平主任医师处就诊,随即被收入耳鼻咽喉头颈外科一病室。

入院后进一步检查发现,小陈左侧鼻腔被肿瘤占据,鼻中隔向右侧鼻腔推挤。与神经外科、放射科、麻醉科、手术室等多学科专家会诊讨论并完善术前准备后,73日,在耳鼻咽喉头颈外科肖旭平主任和神经外科舒毓高主任指导下,由耳鼻咽喉头颈外科周建波主任医师和神经外科孙圣礼副主任医师一道,采用经鼻内镜和显微镜联合入路,成功切除鼻腔鼻窦及颅底巨大肿瘤,切下的肿瘤约8×7×6cm3,重约280g

手术后,患者左眼溢泪停止,外凸的眼球基本回缩,肿大的鼻面部恢复正常,视力也较之前好转,于722日康复出院。

肖旭平主任医师介绍,嗅神经母细胞瘤是一种少见的鼻腔鼻窦和前颅底恶性肿瘤,来源于嗅神经,发病率仅占鼻腔肿瘤的3%。由于生长部位隐匿,早期症状不典型,嗅神经母细胞瘤不易被发现。他提醒,一旦出现无明显诱因的反复单侧鼻塞、鼻涕带血,伴有嗅觉下降、头痛以及眼部症状(流泪、视力下降、复视及眼球突出等)时,应及时就医,以免延误治疗,造成严重后果。

文图:梁辉 刘小白 袁康龙