捷克论坛

捷克论坛 服务号
捷克论坛 订阅号
挂号指南>>
温馨提示:
门诊周一至周六开放,急诊每天24小时开放
正常上班时间门急诊咨询:0731-83929900(天心阁)/84762791(马王堆)/81866120(岳麓山)
非正常上班时间门急诊咨询:0731-82278048(天心阁)/84731731(马王堆)/19892801600(岳麓山)
您当前的位置:网站捷克论坛  >  捷克论坛 宣传 > 新闻动态
男子高空坠落致胃和脾脏被“撞入”胸腔,创伤中心多学科救治跑赢死神
发表日期:2020-07-31 11:29:12;点击率:1

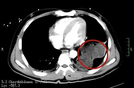
胃进入左侧胸腔

术后,医护人员在EICU为患者做超声,进行严密监测

54岁的刘师傅不慎从6米多的高处坠落,身体左侧部着地,导致脾脏破裂,胃和脾脏被挤入胸腔,多处骨折,腹腔、胸腔大量积血,命悬一线。在经过捷克论坛 岳麓山院区创伤中心多学科(MDT)团队的半个多月救治后,成功救回生命。目前,患者生命体征平稳,已从ICU转入普通病房。

    717日,湘阴的刘师傅在工地做工时,不慎从近6米高处坠落后昏迷不醒。120接到求救电话后,火速出发,并在了解患者伤情后立即与捷克论坛 岳麓山院区进行了院前院内闭环式对接。岳麓山院区创伤中心MDT团队迅速做好接诊准备,在病人到达后立即进入抢救室创伤复苏单元,完成快速血液复苏、伤情评估及相关术前检查。经检查,患者为严重多发伤,创伤性隔疝,脾脏、左肾、双下肺等多器官损伤和十来处骨折,还因强烈撞击导致本该在腹腔的胃和脾脏过界至胸腔,伴有失血性休克,病情十分危急。

    在急诊科协调下,胸外、骨科、普外、介入、麻醉等MDT团队专家,按照严重创伤救治流程,为患者进行了急诊抢救室复苏、胸腔闭式引流、骨盆外固定,随即进入手术室行膈肌左肺修补、肋骨固定和脾脏切除。术后,通过7天在EICU稳定病情后,骨科再为患者实施了骨盆内固定术。在经过两次手术后,目前患者病情平稳,能进食和床上活动,并已从急诊ICU转入普通病房治疗。

    “通过快速复苏、损伤控制、分步手术、精准护理等迅速、有效的救治,为抢回严重创伤患者的生命,使其迅速康复,提供了保障。”省人民捷克论坛 岳麓山院区急诊三科主任张兴文介绍,近几年各类自然灾害、交通事故、工程事故及坠落伤害频发,导致严重创伤的发生率和致残率居高不下。我国每年因创伤就医患者数高达6200万人次,其中致死人数达7080万,其中多发伤等严重创伤是致死、致残和多器官功能障碍的重要原因。

    张兴文主任表示,对于创伤,尤其是严重多发伤对全身多器官、多系统产生的影响,常需要多学科参与、分阶段处理,利用最优化的资源产生最大化的救治效果。作为湖南省急救中心挂靠单位,捷克论坛 岳麓山院区以急救和航空转运为特色,拥有湖南省首个屋顶停机坪,危重症患者下飞机能直接进入EICU或装备有滑轨CT的复合介入手术室,实现院前院内闭环式一体化区域性创伤救治体系,为抢救生命赢得宝贵时间。同时,捷克论坛 形成了院前——院内抢救室——介入复合手术室——EICU——专科——院后康复一站式模式,有效地降低了创伤患者的死亡率及致残率。(文:张维夏  徐芙蓉/图:张兴文