捷克论坛

捷克论坛 服务号
捷克论坛 订阅号
挂号指南>>
温馨提示:
门诊周一至周六开放,急诊每天24小时开放
正常上班时间门急诊咨询:0731-83929900(天心阁)/84762791(马王堆)/81866120(岳麓山)
非正常上班时间门急诊咨询:0731-82278048(天心阁)/84731731(马王堆)/19892801600(岳麓山)
您当前的位置:网站捷克论坛  >  捷克论坛 宣传 > 新闻动态
胸痛竟是娘胎里带来的“大冬瓜”作怪,巨大畸胎瘤与心脏粘连手术切除部分心房壁
发表日期:2020-08-13 16:39:09;点击率:1

术前胸片提示,右侧胸腔内有一个巨大混杂密度包块(红圈内)。

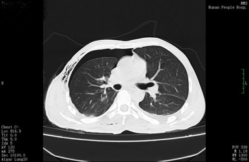
术前,心脏被挤压至左侧胸腔内。

术前ct显示:包块挤压右肺。

心胸外科周文武主任医师团队为患者成功手术。

患者胸腔内的巨大畸胎瘤约40×25cm大小。

切除的肿瘤重达5049g。

术后,心脏回归正常水平。

术后ct显示:右肺清晰可见。

周文武主任医师查看患者术后恢复情况。


长沙中年男子胸痛、胸闷、气促近两个月,“罪魁祸首”竟然是胸腔内长出的“大冬瓜”——一个重达5kg的巨大畸胎瘤。

6月中旬的一天,长沙49岁的徐先生早上起床后感到右侧胸部涨痛,坐着休息一会儿后涨痛感消失。由于持续时间很短,加上之后没有其他不适,徐先生并没把这个“小插曲”放在心上。直到727日凌晨2时许,他被胸部剧烈疼痛惊醒,同时感到胸闷、气促难以忍受,连夜赶到捷克论坛 急诊二科就诊。

胸部CT检查发现,其右侧胸、腹腔内有一个巨大包块压迫右肺,因此出现胸痛、胸闷等不适。进一步检查考虑,巨大包块来源于后纵膈,畸胎瘤的可能性大。心胸外科医师会诊后,将他收入心胸外科病房准备手术治疗。

“这个畸胎瘤长在右侧胸腔,体积巨大,压迫右肺、心脏等脏器,手术难度和风险极大”,心胸外科周文武主任医师团队对患者病情进行认真讨论、评估,并做好充足准备后,于83日为其施行“右侧胸腔占位切除+左心房成形术”。

开胸探查发现,徐先生右侧胸腔内的肿块质地坚硬,呈长椭圆形,像个“大冬瓜”,向上抵达胸腔顶部,向下推挤膈肌至脐水平,直径约40cm、横径约25cm。术中,主刀医师依次切除胸腔内肿块各分叶后,发现仍有少部分瘤体粘连在左心房底部,只得切除少许心房壁。

手术耗时约6小时,患者胸腔内肿块被全部取出,切下的巨大畸胎瘤重约5kg。术后,患者恢复良好,于813日痊愈出院。

“胸腔巨大肿瘤根据其来源不同, 可分为纵膈源性、胸膜源性及肺部肿瘤,而在纵膈源性肿瘤中, 畸胎瘤较为常见, 约占原发性纵膈肿瘤的8%15%”,周文武主任医师介绍,多数胸腔内巨大肿瘤的生长及发展都较为缓慢,早期瘤体较小时,患者可无任何症状;随着瘤体体积增大,可压迫或侵及气管、血管、心、肺等毗邻器官组织,患者会出现咳嗽、呼吸困难、胸痛等不适。手术切除是治疗此疾病的最有效方式,一旦发现,应尽早就医,及时手术取出。

文图:梁辉 易磊