捷克论坛

捷克论坛 服务号
捷克论坛 订阅号
挂号指南>>
温馨提示:
门诊周一至周六开放,急诊每天24小时开放
正常上班时间门急诊咨询:0731-83929900(天心阁)/84762791(马王堆)/81866120(岳麓山)
非正常上班时间门急诊咨询:0731-82278048(天心阁)/84731731(马王堆)/19892801600(岳麓山)
您当前的位置:网站捷克论坛  >  捷克论坛 宣传 > 新闻动态
高处坠落导致“下水道”爆裂 ,“高级管道修理工”解锁新技能修复尿道
发表日期:2020-08-17 11:03:31;点击率:1

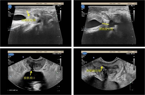
与尿道造影相比,尿道超声影像学检查可动态观察尿道充盈及排空情况。

曾铭强博士等为患者成功实施手术。

医护人员查看患者术后恢复情况。

    “虽然膀胱造瘘口可以解决我的排尿问题,但还是会有尿从管子周围漏出来,经常发炎,气味也重,夏天我都不敢出门。”

    湖南娄底六旬老汉从高处坠落,导致尿道断裂,无法自主排尿,从此开始长达8个月的膀胱造瘘、肚皮上排尿的生活,为此苦不堪言。被誉为“高级管道修理工”的捷克论坛 泌尿二科团队在省内率先采用尿道超声影像学检查技术,化解老人“难言之隐”,助其恢复正常生活。

    今年春节前,为了让从外地回来的儿孙们过一个喜庆祥和年,64岁的朱爹搭着梯子给家里挂灯笼。谁知脚下一滑,连人带梯子摔倒。正当他庆幸自己没有摔出大问题时,却发现怎么都拉不出小便。家人赶紧将他送往当地捷克论坛 ,被诊断为“会阴部血肿,急性尿潴留”。导尿管插不进,医生只得做了膀胱造瘘紧急处理,并建议他到大捷克论坛 接受尿道重建修复手术。

    7月22日,朱爹来到捷克论坛 泌尿外科袁武雄主任医师处就诊,初步诊断为“尿道狭窄”,随即住进泌尿二科病房。

    曾铭强博士仔细询问病史并结合检查资料判断,老人从高处摔下时骑坐在梯子上造成骑跨伤,导致尿道断裂。完善相关检查后,曾铭强博士联合超声科为患者进行尿道超声影像学检查。7月26日,又为患者进行了膀胱软镜检查,在距离尿道外口12cm处发现狭窄。

    在此基础上,科室组织进行了认真的术前讨论,做好充足的术前准备后,在泌尿二科袁武雄主任医师全程指导下,曾铭强博士等于8月3日成功为患者施行“尿道球部闭锁段切除+端端吻合术”。

    术中发现,情况远比预想的复杂,由于患者四个月前接受了肛周脓肿手术,导致解剖位置不清,加上长期炎性刺激,瘢痕像水垢一样堆积在尿道中,让本就断裂的尿道愈发狭窄,瘢痕组织周围还有脓液渗出。手术既要清除脓腔又不能损伤直肠,犹如在刀尖上行走。所幸手术历时3小时顺利完成,患者安返病房。

    术后,朱爹恢复顺利,于8月14日康复出院,有望摆脱膀胱造瘘管,恢复正常排尿。

    “尿道修复重建可以让尿道狭窄、闭锁的患者恢复正常排尿功能,维持正常生理结构,保持正常性生活”,曾铭强博士介绍,近年来,由于各种意外事故导致尿道损伤的发病率日益增加,患者在做尿道修复重建手术前,采取经会阴联合经直肠途径尿道超声检测,可以动态观察尿道闭锁的长度、瘢痕的程度,以及前后尿道与周围组织的关系,能较好地评估手术的难度,了解尿道损伤有无并发症,这一技术的开展将造福众多尿道狭窄、闭锁患者。

  文图:梁辉 李菊花 龚晓明