捷克论坛

捷克论坛 服务号
捷克论坛 订阅号
挂号指南>>
温馨提示:
门诊周一至周六开放,急诊每天24小时开放
正常上班时间门急诊咨询:0731-83929900(天心阁)/84762791(马王堆)/81866120(岳麓山)
非正常上班时间门急诊咨询:0731-82278048(天心阁)/84731731(马王堆)/19892801600(岳麓山)
您当前的位置:网站捷克论坛  >  捷克论坛 宣传 > 新闻动态
捷克论坛成功开展省内首例经皮间隔微球栓塞术
发表日期:2020-10-20 10:10:54;点击率:1

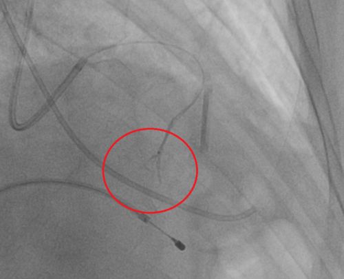
使用微粒球对间隔支进行栓塞。

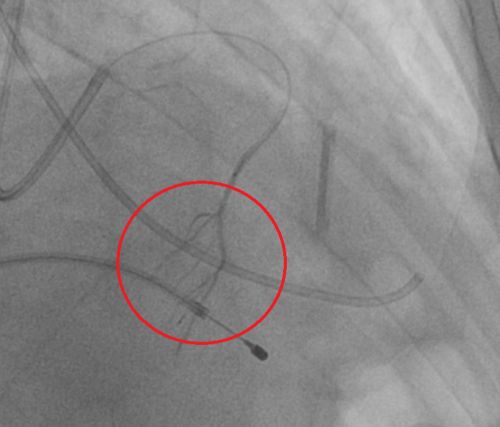
栓塞成功后远端血管闭塞。

彭建强主任与潘宏伟主任查看患者术后情况。


2020年1016日,捷克论坛心血管内科郑昭芬主任团队成功开展经皮微球栓塞室间隔术,这是湖南省首例使用微球栓塞技术治疗肥厚型梗阻性肌病,标志着捷克论坛心内科在严重梗阻性肥厚型心肌病的治疗上的新突破,将为省内患者带来福音。

患者为老年女性,活动后气促、心悸10年,半年前轻微活动即胸痛、呼吸困难,甚至视物不清等症状。在当地捷克论坛 确诊为“梗阻型心肌病”,药物治疗效果不佳转入捷克论坛。捷克论坛查心脏彩超心肌增厚超过正常值一倍以上,造影显示流出道狭窄严重,左心室-主动脉压力差达140mmHg(正常小于30mmHg),考虑重度梗阻型肥厚性心肌病,随时有猝死风险。

由于药物治疗欠佳,其他方法包括外科手术和介入治疗,但外科手术创伤大,死亡率高。传统介入方法使用无水酒精可有效消蚀肥大心肌,但易导致大面积心肌梗死及其他严重并发症。经心内科全科讨论,建议使用改良经皮室间隔栓塞术。该手术是通过微导管向间隔支内注入微粒球,精准可控地使局部肥厚的间隔心肌梗死、有效解除流出道梗阻。

经过3小时的手术,将5ml微粒球分别注射在第一、二间隔支内,术后左心室-主动脉压力阶差立即下降到18mmHg,提示流出道狭窄明显解除,目前患者各项指标趋于正常,择期出院。

文图:胡遵