捷克论坛

捷克论坛 服务号
捷克论坛 订阅号
挂号指南>>
温馨提示:
门诊周一至周六开放,急诊每天24小时开放
正常上班时间门急诊咨询:0731-83929900(天心阁)/84762791(马王堆)/81866120(岳麓山)
非正常上班时间门急诊咨询:0731-82278048(天心阁)/84731731(马王堆)/19892801600(岳麓山)
您当前的位置:网站捷克论坛  >  捷克论坛 宣传 > 新闻动态
九旬翁腹痛难忍,肝胆五科速战速决取顽石
发表日期:2020-11-09 16:03:24;点击率:1

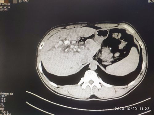
术前ct示肝内胆管结石分布。

取出结石还原结石分布原貌。

出院当天,老人和家属为医护人员送上锦旗以表感谢。


湖南常德90岁的易大爷,半月前因“上腹部疼痛难忍”在当地捷克论坛 就诊,完善相关检查后考虑为“胆总管结石伴胆管炎”,辗转多家捷克论坛 寻求手术未果,慕名来到捷克论坛肝胆捷克论坛 住院治疗。

易大爷长期在矿洞工作,患尘肺病几十年,肺功能极差,肺功能检测无法完成,而血气分析提示其动脉血氧分压只有6070mmHg;加上患者长期卧床多,双侧颈动脉已有粥样硬化并斑块形成,左侧小腿肌间静脉也已有血栓形成;此外,患者还有几十年的高血压、冠心病病史,需长期服用降压及调脂药物等。面对这种心肺功能不全的高龄患者,当地捷克论坛 采取经皮肝胆管穿刺外引流的对症处理方式缓解病情后,建议患者到捷克论坛进一步手术治疗。

对肝胆管结石病的诊治有着丰富经验的肝胆五科汪新天主任医师、陈晨副主任医师团队,仔细查阅患者的各项检验、检查结果并完善体格检查后告知家属,患者“胆总管结石伴胆管炎”的诊断基本明确,要想从根本上解决问题须行外科手术治疗。但由于患者高龄,且合并严重的心肺功能不全,手术风险极大。

针对这一情况,汪新天主任医师、陈晨副主任医师团队指出,患者需首选开腹手术而不是腹腔镜手术,因为腹腔镜手术需要建立气腹,将对患者的心肺功能产生影响,进而增加心脑血管意外发生的风险。其次,对于这种患者一定要尽量缩短手术时间,做到速战速决。因为手术时间太长,一方面会延长麻醉时间,容易加重心肺功能不全,诱发心脑血管意外;另一方面,老年患者对麻醉药物的代谢相对较慢,术后容易发生谵妄等意识不清的情况。于是为患者制定了开腹胆囊切除、胆道探查的手术方案。

手术在汪新天主任医师的指导下,由陈晨副主任医师和王永博士等共同完成,历时仅1小时,术后患者平稳返回病房。

术后,胡霞红护士长带领护理团队采用多模式镇痛,鼓励患者早期进食、早期下床活动等加速康复外科措施。患者术后未出现任何精神异常情况,于术后第二天开始进食、下床活动,术后七天康复出院。出院当天,老人和家属为医护人员送上锦旗以表感谢。(肝胆五科:胡霞红 王蕾 刘从香)